ジルコニアを使用したオールセラミック治療
2021年 3月22日(月曜日)です。
このブログは「大船駅北口歯科 オールセラミック/ジルコニア/金属アレルギー専門サイト」です。
本日もセラミックのケースを紹介します。
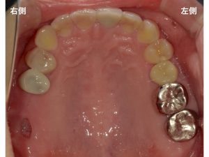
以下は初診時です。
上顎を噛む面から写真撮影した状態です。
左側の奥から2歯に金属製の被せ物が装着されていました。

患者様は、金属を使用しないオールセラミック治療をご希望されたため、
ジルコニアを使用した被せ物を行いました。
こうしたノンメタル治療には、
大きく分けて
オールセラミック(ガラスセラミック)
と
ジルコニア
という
2つの素材があります。
両方とも金属を一切使用しない治療ですが、
大きな差は、
硬さ(強度)です。
ジルコニアは、
オールセラミック(ガラスセラミック)
と比較すると
約3枚程度の強度(硬さ)があります。
噛み合わせが強かったり、
奥歯になる部分には、
ジルコニアを使用することが多いです。
以下は、治療前と
ジルコニアを使用した治療後の比較です。


来週もオールセラミックのケースをご紹介します。
当医院を受診されている患者様 や
ブログを見られた方のクチコミを募集 しています。
励みになりますので
ブログのコメントもよろしくお願い致します。
以下をクリックして下さい。
Googleでクチコミ募集中

天然歯治療費
オールセラミック(e.max エンプレス 等)
1歯 55.000円(消費税込):天然歯
ジルコニアオールセラミック
1歯 88.000円(消費税込):天然歯
インプラントの治療費については、
以下を参考にして下さい。
大船駅北口歯科:料金システム
現在デンタルローンの24回まで分割手数料 0%キャンペーンを実施しております。
詳細は以下をご覧下さい。
デンタルローン(84回まで分割お支払い可能:24回までは分割手数料 0%)
メール無料相談は こちらをクリック 歯科治療で分からないこと や ご心配ごと をメールして下さい。基本的に、当日に回答させていただきます。
インプラントオンライン見積もりは こちらをクリック
欠損部からインプラントの治療費や治療期間(治療回数)等をお答えします。
インターネット・オンライン予約 はこちらをクリック
休診日でも24時間 オンラインで予約が行えます。
大船駅北口歯科サイトは、以下をクリック
インプラントなら横浜の大船駅北口歯科