2017年10月17日
オールセラミック症例
2017年10月17日(火曜日)です。
このブログは「大船駅北口歯科 オールセラミック/ジルコニア/金属アレルギー専門サイト」です。
さて本日は症例報告です。
金属アレルギーの検査を主訴として来院されれました。
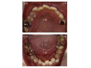
初診時の口腔内が以下です。

上顎左右奥歯に2箇所(上顎右側一番奥歯は被せ物が取れたままです)、
下顎左右奥歯に3箇所
金属が入っています。
患者様は、金属を使用しないオールセラミック治療をご希望されました。
治療部位は、以下の●印です。

以下は治療後です。

以下は治療前後の比較です。

上顎左側の奥歯の欠損は、この後治療開始です。
インプラント治療
もしくは
金属を一切使用しない ノンクラスプデンチャー となります。
治療費用
オールセラミック(e.max エンプレス 等)
1歯 54.000円(消費税込)
ジルコニアオールセラミック
1歯 75.600円(消費税込)〜
メール無料相談は こちらをクリック 歯科治療で分からないこと や ご心配ごと をメールして下さい。基本的に、当日に回答させていただきます。
インプラントオンライン見積もりは こちらをクリック
欠損部からインプラントの治療費や治療期間(治療回数)等をお答えします。
インターネット・オンライン予約 はこちらをクリック
休診日でも24時間 オンラインで予約が行えます。
大船駅北口歯科サイトは、以下をクリック
インプラントなら横浜の大船駅北口歯科