インプラントモニター:その13
1/14(木曜日)です。
今日も『インプラント症例』になります。
このブログで良く
『神経のない歯は折れやすい!』
ということを書きます。
本当に神経のない歯はリスクが高いのです。
今日は、神経ない歯が歯根破折 を起こした症例をご紹介します。
歯根破折 を起こした歯をレントゲン撮影すると
折れた部位がレントゲンで見えるように感じられるかもしれません。
しかし、実際に歯根破折 していてもレントゲンでは、折れている部位がはっきりと写っていることは少ないのです。
折れるといっても 木がボッキッ と折れるようになっているわけではありません。
歯の根に亀裂が起こるのです。
レントゲンで分かるぐらい分離することは少ないのが現状です。
本日ご紹介する症例は、折れている部位が完全に分離しており、
レントゲン上ではっきりと見えるため、分かりやすいと思います。
早速症例を見てみましょう。

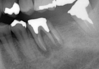
下顎の左側の奥歯が折れていたのです。
以下のレントゲン写真の赤丸が歯根破折 しているのです。

それでは、分かりやすくするために赤丸の部分を拡大してみます。

奥の根が折れているのが分かるかと思います。
このように歯根破折 している場合には、抜歯となります。

通常歯根破折 していてもこのようにレントゲンではっきりと写ることは少ないのです。
それではどのようにして歯根破折 していることを判断するのかと言いますと
さまざまな検査や症状により総合的に判断します。
まず、歯肉が腫れている場合には、
歯周病による腫れか?
歯自体の問題による腫れか?
を判断することが必要です。
そのために、歯周の検査 を行います。
もし、歯周の検査 で問題がなかった場合には、歯自体に問題がある可能性が高いのです。
そして、神経がない場合には、
根の先に膿みが溜まっているか?
歯根破折しているか?
のどちらかの可能性が高くなります。
状況にもよりますが、レントゲンで判断可能な場合もあります。
根の先が黒く写っていれば、根の先に膿みが溜まっている可能性が高く、
根の中間部分が黒くなっていれば根が割れている可能性を疑います。
また、根の先に膿みが溜まっている場合には、抗生剤を服用することで 膿みが減少しますので 腫れは数日で減少し、痛みもなくなることが多いのですが、
歯根破折 している場合には、症状の改善が見られないこともあります。
つまり、いくら抗生剤を飲んでも 折れている事自体は変わってはいないため、腫れが残ったり、歯をたたくと 痛みがあります。
最終的にはさまざまなことを総合し、歯根破折 しているかどうかを判断します。
以下は、歯根破折 した歯を抜歯後にインプラント治療を行った後になります。

使用したインプラントは、ストローマンインプラント(ITIインプラント) です。
神経があるか?
神経がないか?
の判断は、歯の根の中に白い線が見えれば、神経がない証拠です。
これは、神経を取った後に 神経の代わりの薬が詰まっているのです。
いつも書きますが、
『神経を取らないこと!』が非常に重要なのです。
神経を取った歯は、ダメになるリスクが非常に高いのです。
神経をできるかぎり取らないようにしている歯科医院は良い歯科医院と言えます。
(ただし、虫歯の状態等によりどうしても神経を取らなければならないこともありま
す)
次回のブログは1/18(木曜日)になります。
次回も『インプラン
ト症例』です。
今週(1/12〜13)のインプラント手術報告
この2日間はインプラント手術はありませんでした。
実際にはインプラントの手術の予約はあったのですが、
患者様のご体調が悪いことがあり、キャンセルになりました。
風邪を引かれている等で体調が悪い場合には無理をせず
インプラント手術は延期した方が良いのです。
体調が悪い時に無理した行うと 手術後に腫れが強く起こったりします。
無理をしないことが大切です。
インプラントモニター募集(20%割引
現在、新規にインプラント症例集のページを作成しています。
さまざまなケースを見ていただくことにより、よりインプラント治療についてご理解していただきたいと思います。
そのため、症例を公開しても大丈夫という方(インプラントモニター)を募集しています。
インプラントモニターの詳細については、下記をクリックして下さい。
インプラントモニター(20%割引)
今回のモニター募集は、できるかぎり多くの症例を掲載したいと思っているため、1歯欠損も募集しています。
何歯欠損でも大丈夫ですので、ご希望がございましたらご連絡下さい。
インプラント無料相談
現在インプラント無料相談を受け付けています。
詳細は以下をご覧になって下さい。
インプラント無料相談
・ オリコン 2010年度版 顧客満足度の高い インプラント歯科医院ランキング神奈川県版
・ メール無料相談は こちらをクリック
歯科治療で分からないこと や ご心配ごと をメールして下
さい。
基本的に、当日に回答させていただきます。
・ インプラントオンライン見積もりは こちらをクリック
欠損部からインプラントの治療費や治療期間(治療回数)等をお答えします。
・インターネット・オンライン予約 はこちらをクリック
休診日でも24時間 オンラインで予約が行えます。
大船駅北口歯科インプラントセンターインプラント 歯周病 専門医
神奈川県横浜市にある 日本歯周病学会歯周病専門医 国際インプラント学会認定医の歯科医院
I.T.Iインプラント認定医でもあり、 GBR法 、 サイナスリフト、 審美インプラント等の難症例も行います。
HPでは 治療費(費用)の説明や インプラント症例、 無料相談コーナーもあります。
