ショートインプラント
3/30(月曜日)です。
今日も始めは、今までのおさらいになります。
上顎の奥歯は、骨が吸収していることが多いことと、上顎洞が存在するため、
インプラントを行うことが困難になることを シリーズ(2/26〜前回まで)で
解説してきました。
そして、上顎の奥歯において、骨吸収が大きく、インプラントが困難なケースでは、
『ソケットリフト法』や
サイナスリフト法
を行う行い、インプラントを埋入することを解説してきました。
『ソケットリフト法』は、患者様に負担が少なく、治療としては、簡単な方ですが、
適応症としては、骨の高さがある程度(5ミリ程度)は、残っていないとできない方法です。
それに対し、 サイナスリフト法は、骨の高さがもっと少なくても、 骨移植を行うことによりインプラント埋入が可能になります。
しかし、この 骨移植が治療を受ける患者様には、大変なのです。
治療後の腫れ等が大きくでます。
そこで、前回は、上顎の奥歯にインプラントを埋込むための骨の高さが少ない場合、
親知らずにあたる部分にインプラントを埋入する『上顎結節を利用したインプラント傾斜埋入法』について解説しました。
これは、上顎の奥歯にあたる骨が吸収しても、
さらに奥にある『上顎結節』という部分の骨は、
吸収しなく、残っていることが多いことを利用した方法なのです。
この『上顎結節を利用したインプラント傾斜埋入法』を応用することにより、
骨移植を行う、 サイナスリフト法を避けることが可能になる場合もあります。
今日は、骨吸収により、インプラントを埋入するための 骨の高さが少ない場合の他の治療法について解説します。
『ショート・インプラント』というテーマです。
インプラントを埋入するためには、できるかぎり長いインプラントを埋入することが重要です。
特に上顎においては、長いインプラントが重要になります。
その理由として、上顎と下顎では、骨の硬さに違いがあるからです。
下顎と比較して上顎の骨は、軟らかいのです。
例えてお話すると、家を建てる時、
硬い地面に 土台となる クイ を打ち付けるのと、
軟らかい地面に クイ を打ち付けるのでは、違ってくるかと思います。
軟らかい地面であれば、より強固にするために、できるかぎり長い クイを打ち付けた方が
安定が良いのです。
軟らかい上顎の骨においても同様のことが言えます。
通常、下顎より長いインプラントを埋込むように治療計画を立てます。
しかし、現実問題として、
今回のテーマでもある上顎の骨は、上顎洞の存在や骨吸収によって
インプラント埋入が困難なことが多いのです。
現実的には、長いインプラントを埋込むことが難しいのです。
そこで、インプラントの埋入本数を増やす方法が考えられます。
長いインプラントが無理であれば、
インプラント自体の長さは、短いが、本数を増やすことにより、
強度を得ようという 考え方です。
上顎の奥歯において、骨移植を避けたい とご希望される患者様には、有効な方法の一つになります。
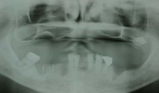
このことは、文章で説明するよりも症例を見ていただいた方が分かりやすいので、
以下を御覧になって下さい。
治療前

クリックすると拡大されます
治療後

クリックすると拡大されます
次回のブログは4/2(木曜日)になります。
今週(3/27〜29)のインプラント手術報告
今週(昨日)のインプラント手術の中から、
難しいケース であったり、
特殊なケース 等を抜粋して、紹介するコーナーです。
それでは、今週のインプラント手術の中から上顎にインプラント埋入を行った1症例について解説します。
本日ご紹介するケースは、現在 上顎に残っている歯が 5歯のみの患者様です。
インプラント治療期間中に問題となるのが、治療中の仮歯(仮義歯)をどうするか
ということです。
インプラント治療は、時間がかかります。
通常、インプラントを埋込んでから 骨と結合(くっつく)まで、
上顎で約3〜4ヶ月、
下顎で約2〜3ヶ月かかります。
(骨吸収の状態等では、さらに治療期間がかかることもあります)
この治療期間中をどうするのかが、大きな課題です。
骨の状況等によっては、即時加重(負荷)・インプラント という方法があります。
この方法は、インプラントを埋め込むと同時に、固定式の仮歯をインプラントにつける方法です。
インプラント手術当日に固定式の仮歯になりますので、
患者様には、非常に喜ばれます。
例えば、今まで総入れ歯を使用していた方でも
インプラント手術当日に、固定式になりますので、
患者様からは、
『手術当日から噛めるようになった!』
と大変喜ばれます。
しかし、この 即時加重(負荷)・インプラント は、全てのケースで適応できるわけではありません。
さて、話を今回の症例に戻します。
患者様は、上顎に5歯のみが残っている状態でした。
そのうち1歯を完全にダメな状態です。
抜歯ということです。
残りの4歯もかなり状態は、良くありません。
最終的には、ダメになる確率が高いのです。
患者様は、治療期間中は、義歯の装着は、どうしても避けたいというご希望がありましたので、
残っている4歯のみで、固定式の仮歯を作製し、インプラントの治療期間中は、
この仮歯を使用していただき、インプラントと骨が結合(くっつく)した後、
インプラントの仮歯と交換する治療計画を立てました。
今回埋入部位は、骨吸収もあり、
『スプリッティング法』、
『GBR法』、
『ソケットリフト法』
を行いました。
骨の増大をさらに促進させるために、 『 P.R.P法 』も併用しました。
使用したインプラントは、 アンキロス・インプラント 長さ11ミリが4本です。
麻酔は、静脈内鎮静法です。
この麻酔方法は、治療中は、寝ている状態で行えますんので、
患者様の不安等がなく、楽な麻酔方法です。
治療費
インプラントが1本21万円(税込)×4本です。
この中には、治療中のレントゲン撮影や薬代、
今回のスプリットクレスト法、GBR法、ソケットリフト法、PRP法の費用も含まれています。
・ メール無料相談は こちらをクリック
歯科治療で分からないこと や ご心配ごと をメールして下
さい。
基本的に、当日に回答させていただきます。
・ インプラントオンライン見積もりは こちらをクリック
欠損部からインプラントの治療費や治療期間(治療回数)等をお答えします。
・インターネット・オンライン予約 はこちらをクリック
休診日でも24時間 オンラインで予約が行えます。
ブログランキングにご協力下さい。下記をクリックして下さい。
人気blogランキングへ
クリックしていただくとランキングに1票入ります。
大船駅北口歯科インプラントセンターインプラント 歯周病 専門医
神奈川県横浜市にある 日本歯周病学会歯周病専門医 国際インプラント学会認定医の歯科医院
I.T.Iインプラント認定医でもあり、 GBR法 、 サイナスリフト、 審美インプラント等の難症例も行います。
HPでは 治療費(費用)の説明や インプラント症例、 無料相談コーナーもあります。