なぜ 金属の詰め物は 取れるのか?:虫歯治療で行う 金属治療 の問題点!:その11
2014年 8月18日(月曜日)です。
このブログは、歯周病に関するブログです。
現在は歯周病の内容ではなく、
オールセラミックの接着方法について解説しています。
今日のテーマは、
『なぜ 金属の詰め物は 取れるのか?:虫歯治療で行う 金属治療 の問題点!:その11』になります。
もう このテーマも11回目をむかえました。
このシリーズを全て見られた方は、だいぶ
『なぜ 金属の詰め物は 取れるのか?:虫歯治療で行う 金属治療 の問題点』
についてお分かりになってきたと思います。
現在 これまでのシリーズをまとめてHPにアップする準備をしています。
「金属アレルギー外来」のページにアップします。
アップが完了しましたら
ブログでも報告しますので、ご覧になって下さい。
本日は、症例(ビフォーアフター )報告です。
主訴は、金属アレルギーのため、口腔内金属を全て撤去し、オールセラミック治療を行いたいとの
ことで来院しました。
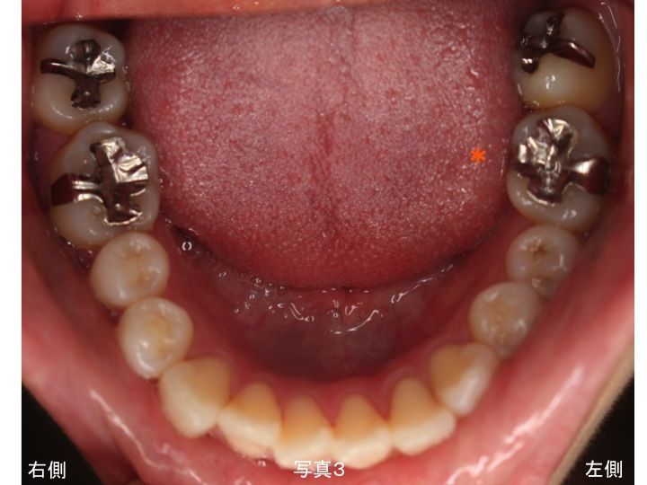
上下顎 左右側 ともに 多くの歯で金属製の詰め物や被せ物が装着してあります。
奥歯のみが噛み合っており、上下顎の前歯が噛み合っていないオープンバイトという状態です。
上顎右側の奥から4番目の歯は、白い状態に見えますが、これは仮歯のままです。
治療計画
まず下顎です。
小さい金属製の詰め物は、コンポジットレジン(CR)●印
という樹脂を詰める治療を行う計画を立てました。
コンポジットレジン(CR)の利点は、
1.保険が適応されますので患者様の治療費負担は少ない治療法です。
2.1回の治療で終了できます。
3.基本的に金属を撤去するだけなので、歯を必要以上に削る必要はありません。
*大きさにより違いますが 3割負担の方で約1.000円です
*2014年保険診療計算で初診料やレントゲン等の検査は含まれません
*噛み合わせ等によりCRが適応されない方もいらっしゃいます
コンポジットレジン(CR)の欠点は、
1.強度は比較的弱いので、上下顎がしっかりと噛む場所では不適です。
2.また、金属部分が大きい部位でも不適です。
3.セラミックと比較すると変色を起こします。
次に上顎です。
オープンバイト(前歯は噛み合ずに奥歯のみが噛み合っている)のため、
強度を重要視して金属部分撤去後は、
全てオールセラミック治療を行う計画を立てました。
●印はオールセラミックの部分的な詰め物、
●印は全体的に被せるオールセラミックです。

治療経過です。
下顎左側の奥歯です。
この部分は、少し前のブログでもアップしました。
コンポジットレジン(CR)による治療です。
健康保険が適応されるのも利点ですね。
下顎左側の*印の歯の治療ステップを見てみましょう。

ステップ 2:金属を除去
金属片が口腔内に飛び散らないようにゴムのシート(ラバーダム)を装着し、
金属片および虫歯も除去

削った穴につめたCRをきれいに研磨し、終了です。
次に上顎左側の奥歯です。
*印の歯の治療ステップを見てみましょう。

金属片が口腔内に飛び散らないようにゴムのシート(ラバーダム)を装着します。
削ると金属片が飛び散っているのが分かるかと思います。
ラバーダムがなければ大変なことに…
次に上顎右側です。
*印の歯の治療ステップを見てみましょう。

金属片が口腔内に飛び散らないようにゴムのシート(ラバーダム)を装着します。
削ると金属片が飛び散っているのが分かるかと思います。
ラバーダムがなければ大変なことに…
一番奥歯はCRです。
以下は、治療後の上下顎の写真です。
次回のブログは、9月1日(月)になります。
8月はいろいろなところで発表があり、ちょっと忙しくなるので…
このブログが始まって以来 毎週月曜日にアップしていましたが、
今年の4月から毎週 大学で講義を行うことになったため、
ブログの更新が不規則になると思います。
毎週ご覧になっていただいている方も多くいらっしゃるかと思いますが、ご理解いただければと思います。
できるかぎり毎週月曜日にアップしたいと考えております。
最新インプラント症例ブログは下記をクリックして下さい。
最新インプラント症例ブログ
インプラント基礎ブログは下記をクリックして下さい。
インプラント基礎ブログ
口臭外来ブログは、下記をクリックして下さい。
口臭外来ブログ
メール無料相談は こちらをクリック 歯科治療で分からないこと や ご心配ごと をメールして下さい。基本的に、当日に回答させていただきます。
インプラントオンライン見積もりは こちらをクリック
欠損部からインプラントの治療費や治療期間(治療回数)等をお答えします。
インターネット・オンライン予約 はこちらをクリック
休診日でも24時間 オンラインで予約が行えます。
歯周病専門サイトは、以下をクリック
歯周病は横浜歯周病情報センター
インプラント専門サイトは、以下をクリック
鎌倉インプラント情報センター
総合サイトは、以下をクリック
インプラントなら横浜の大船駅北口歯科











