なぜ 金属の詰め物は 取れるのか?:虫歯治療で行う 金属治療 の問題点!:その12

2014年 9月 1日(月曜日)です。

このブログは、歯周病に関するブログです。

始めにお知らせです。
スタッフ募集(アルバイト / パート)
詳細は、以下をご覧になって下さい。
求人情報

現在は歯周病の内容ではなく、
オールセラミックの接着方法について解説しています。

今日のテーマは、
『なぜ 金属の詰め物は 取れるのか?:虫歯治療で行う 金属治療 の問題点!:その12』
になります。

本日も前回と同様に金属アレルギーの患者様の症例になります。

一般的に口腔内に金属の詰め物や被せ物がある場合、
金属を撤去し、オールセラミック治療を行います。

金属の詰め物が小さい場合には、コンポジットレジン(CR)という治療でも
金属治療を回避することができます。

これらの症例については、前回のブログをご覧になっていただければと思います。
前回と同じ写真にはなりますが、以下が治療前治療後です。

治療前
スライド1

治療後
スライド1

それでは、歯が欠損している場合で、
義歯(入れ歯)を使用されている場合には、どうなるのでしょうか?

欠損部を治療する場合、
義歯(入れ歯)以外にも インプラント治療を行い、
被せ物をオールセラミックにすることで、対応させることも可能です。
もちろん義歯ではなくなりますので、
快適にもなります。

インプラントに使用される材質は、チタンです。
チタンは、アレルギーが起こる可能性が非常に低い金属です。

しかし、チタンが100%金属アレルギーを起こさないかと言いますと
そうではありません。

実際にチタンで金属アレルギーが起こったという報告もあります。

もちろん治療前に金属アレルギー検査を行い、
チタンに問題があるかどうかを検査し、
問題がないと判断された場合には、
インプラント治療を選択されることが良いでしょう。

しかし、歯が欠損している部位があっても
患者様ご自身がインプラント治療をご希望されなかったり、

インプラント治療費の問題があったり、

全身疾患の問題 や 現在服用されている薬の問題 等により、
インプラント手術が難しい場合もあります。

また、インプラント治療は、顎の骨の中にチタン製のネジを埋め込む治療です。

そのため、治療が問題なく行えるかは、
ネジ(インプラント)を埋め込むための 骨の状態に大きく左右されます。

例えば、
歯周病を長く放置した後で抜歯した場合 や
歯が欠損した状態が長くあった後で抜歯した場合 や
歯の根が折れた(歯根破折)した状態が長く放置した後で抜歯した場合 
等 では、骨の吸収が起こっている場合があります。

この骨吸収が大きい場合には、
インプラント治療が困難になる場合もあります。

こうしたことからインプラント治療以外の方法で
欠損部を治療することになります。

金属アレルギーの方では
欠損部がある場合には、
インプラント以外の治療方法では、
ブリッジ(オールセラミックブリッジ) もしくは 義歯になります。

ブリッジが適応されない場合には、
はやり義歯しかありません。

しかし義歯(部分入れ歯)の場合、金属アレルギーの方では問題が起こります。

部分入れ歯では、義歯を維持させるために、金属製の金具が付きます。

以下の写真が金属製の金具が付いた義歯です。
部分入れ歯

一般的な義歯は、このような金具が付きます。
金具は審美的にも問題を生じます。

そのため、金属の金具が付かない義歯を作製することが
金属アレルギーの患者様にとって必要になります。

金属製の金具のない義歯のことを
ノンクラスプ デンチャーと言います。

本日は、そのような方の症例(オールセラミック治療 と ノンクラスプ デンチャー)をアップします。

以下が初診時です。
18写真1

上顎左右の奥歯 と 下顎左右奥歯が欠損しています。
残っている歯にも金属製の被せ物が装着されています。

多くの被せ物は、セラミックと言われる素材です。

「セラミックは、金属でないのでは?」
と思われる方もいらっしゃるかと思いますが、
通常「セラミック」と言われる素材は、
表面(見えている部分)は、白い(セラミック)ですが、
内部は金属でできています。

以下の
左側がオールセラミック
右側がセラミックです。
セラミックの比較

セラミックの正式名称は、
陶材焼き付け鋳造冠(メタルボンド)と言います。

金属製のフレームにセラミックを焼き付けて作製されています。

そのため、金属アレルギーの方では、
こうしたセラミックを撤去し、
オールセラミックに変更することが必要になります。
赤丸印が再製が必要な部分です。
18写真2

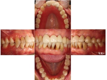
以下が治療後です。
18写真3

欠損部にはノンクラスプ デンチャーを作製しました。
18写真4

ノンクラスプ デンチャーの詳細については以下をご覧になって下さい。
    審美性の高い 金具なしの義歯(ノン・クラスプ・デンチャー)

このように金属アレルギーの方では、
さまざまな治療方法で口腔内から金属を撤去します。

治療費
オールセラミック 1歯:54.000円(消費税込)

ノンクラスプ デンチャー 
片側だけの場合   :108.000(消費税込)
両側にまたがる場合 :129.600(消費税込)

*現時点での消費税率です。

このブログが始まって以来 毎週月曜日にアップしていましたが、
今年の4月から毎週 大学で講義を行うことになったため、
ブログの更新が不規則になると思います。
毎週ご覧になっていただいている方も多くいらっしゃるかと思いますが、ご理解いただければと思います。
できるかぎり毎週月曜日にアップしたいと考えております。

最新インプラント症例ブログは下記をクリックして下さい。
最新インプラント症例ブログ

インプラント基礎ブログは下記をクリックして下さい。
インプラント基礎ブログ

口臭外来ブログは、下記をクリックして下さい。
口臭外来ブログ

メール無料相談は こちらをクリック                          歯科治療で分からないこと や ご心配ごと をメールして下さい。基本的に、当日に回答させていただきます。

インプラントオンライン見積もりは こちらをクリック
欠損部からインプラントの治療費や治療期間(治療回数)等をお答えします。

インターネット・オンライン予約 はこちらをクリック
休診日でも24時間 オンラインで予約が行えます。

歯周病専門サイトは、以下をクリック           
歯周病は横浜歯周病情報センター

インプラント専門サイトは、以下をクリック       
鎌倉インプラント情報センター

総合サイトは、以下をクリック              
インプラントなら横浜の大船駅北口歯科