侵襲性歯周炎 治療経過歯周病細菌遺伝子(DNA)検査 :その6
2015年 9月21日(月曜日)です。
始めに休診案内です。
9月21日(月曜日:敬老の日)
9月22日(火曜日:国民の休日)
9月23日(水曜日:秋分の日)
は日本口腔インプラント学会出席のため休診となります。
9月24日(木曜日)は定休日となります。
このブログは「大船駅北口歯科 歯周病専門サイト」です。
今日のテーマは、
『侵襲性歯周炎 治療経過』になります。
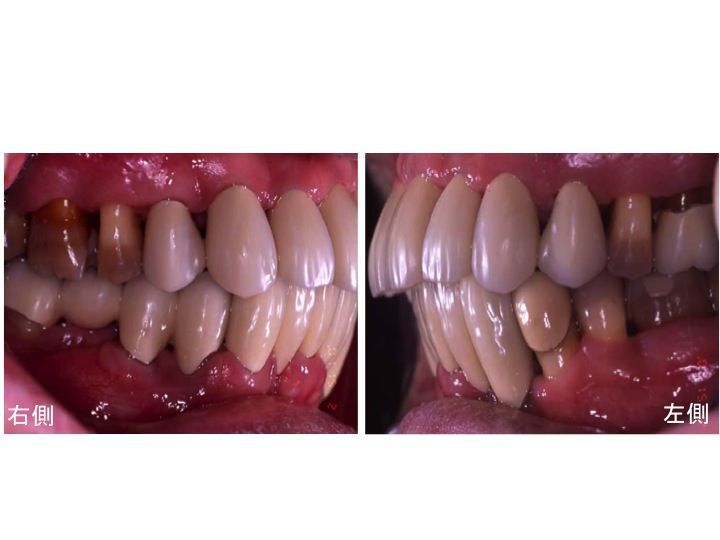
本日は侵襲性歯周炎(ししゅうせい ししゅうえん)のケースレポートです。
患者様は初心時40歳でした。
歯がグラグラで
歯周ポケットは10mm以上あるところも多く、
ほとんどの部位で 歯肉の腫れ、出血が認められました。

このような場合、
通常多くの歯で抜歯となります。
治療を行なわなければ50歳になるころには
ほとんどの歯はなくなっているでしょう。
40歳で重度の歯周炎ですから
20歳代ですでに歯周病がかなり進行していたことが考えられます。
早急に徹底した歯周病治療を行なわないといけない状態です。
重度歯周病で悩まれる方は、
早急の治療が必要です。
時間が経つほど
どんどんと悪化してしまいます。
このブログが始まって以来 毎週月曜日にアップしていましたが、
現在 毎週 大学病院で外来診療と講義を行うことになったため、
ブログの更新が不規則になると思います。
毎週ご覧になっていただいている方も多くいらっしゃるかと思いますが、ご理解いただければと思います。
できるかぎり毎週月曜日にアップしたいと考えております。
最新インプラント症例ブログは下記をクリックして下さい。
最新インプラント症例ブログ
インプラント基礎ブログは下記をクリックして下さい。
インプラント基礎ブログ
口臭外来ブログは、下記をクリックして下さい。
口臭外来ブログ
メール無料相談は こちらをクリック 歯科治療で分からないこと や ご心配ごと をメールして下さい。基本的に、当日に回答させていただきます。
インプラントオンライン見積もりは こちらをクリック
欠損部からインプラントの治療費や治療期間(治療回数)等をお答えします。
インターネット・オンライン予約 はこちらをクリック
休診日でも24時間 オンラインで予約が行えます。
大船駅北口歯科サイトは、以下をクリック
インプラントなら横浜の大船駅北口歯科




