歯周形成外科 と ジルコニアオールセラミック
2016年11月28日(月曜日)です。
このブログは「大船駅北口歯科 歯周病専門サイト」です。
今日のテーマは、
『歯周形成外科 と ジルコニアオールセラミック』になります。
私のような歯周病専門医の治療として
当然のことながら重度歯周病の治療があります。
歯がグラグラしている状態で
歯を支えている状態を改善させる治療も良く行っています。
以下のような症例もそうです。

本日は詳細は省きますが、
歯を支えている骨が非常に吸収しており、
他歯科医院では多くの歯を抜歯しなければいけないと診断された方です。
そこで歯周病専門医である当医院を受診されました。
今から15年前のケースです。
このような患者様を歯周病治療を行い、
セラミックの被せ物で噛み合わせの改善を行い、
動揺している歯の固定も行いました。
15年前は、いわゆるセラミックという素材で治療を行っています。
セラミック と ジルコニア や オールセラミックはまったく違う素材です。
この違いについては、前回のブログをご覧になって下さいね。
重度歯周病の治療というのが私の診療の基本となっています。
本日はそうした歯周病の治療とは少し違う症例を紹介します。
歯周病専門医は、他にもさまざまな対応をして治療を行っています。
その一つが歯周形成外科という治療です。
英語では periodontal plastic surgeryと言います。
どのような治療かと言いますと
大まかに言えば、
審美的なことを目的とした歯肉の治療を主に行います。
本日はそうした審美性の改善のために歯周形成外科:periodontal plastic surgeryを行い、ジルコニアオールセラミックで治療を行った症例を紹介します。
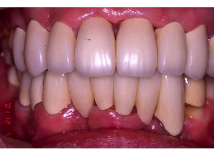
上顎前歯部ですが、
歯の長さが全然違いますよね。
長い歯もあれば
短く見える歯もあります。
長さがバラバラです。
これでは笑った時に当然のことながら奇麗に見えません。
こうした状態を改善させるのが歯周形成外科 periodontal plastic surgery なのです。
歯が短く見える部分を外科治療により長くさせ、
長く見える部分には歯肉を移植して盛り上げます。
こうした治療は決して簡単ではありません。
左右のバランスを適切に整えることは
それなりに経験が必要な治療です。
左右のバランスが整えられています。
笑った時の見た目は非常に重要です。
歯の長さが大きく違ったり、
出っ歯であったり、
歯肉が見えすぎたり
等
様々な問題を抱えている方は、結構多いです。
しかし、治るのか?
どこで治療ができるのか?
等
多くの患者様は、分からないのが実情です。
こうした審美的な問題を解決するのも
歯周病専門医の得意とする分野なのです。
被せ物はジルコニアオールセラミックです。
次回もこうした話をしましょう。
最新インプラント症例ブログは下記をクリックして下さい。
最新インプラント症例ブログ
インプラント基礎ブログは下記をクリックして下さい。
インプラント基礎ブログ
口臭外来ブログは、下記をクリックして下さい。
口臭外来ブログ
メール無料相談は こちらをクリック 歯科治療で分からないこと や ご心配ごと をメールして下さい。基本的に、当日に回答させていただきます。
インプラントオンライン見積もりは こちらをク
リック
欠損部からインプラントの治療費や治療期間(治療回数)等をお答えします。
インターネット・オンライン予約 はこちらをクリック
休診日でも24時間 オンラインで予約が行えます。
大船駅北口歯科サイトは、以下をクリック
インプラントなら横浜の大船駅北口歯科






