歯周病 と オールセラミック:その4
2016年 3月28日(月曜日)です。
このブログは「大船駅北口歯科 歯周病専門サイト」です。
今日のテーマは、
『歯周病 と オールセラミック:その4』になります。
前回の続きです。
この3回で歯周病とジルコニアについて解説してきました。
そこでジルコニアの特徴として、
汚れが付きにくい素材であることを解説してきました。
歯周病は、汚れ付着したり、歯周ポケット内部に侵入することで起こる疾患です。
汚れが付きにくい被せ物であれば、
よりリスクは低くなることが考えられます。
本日はジルコニアについて もう少し解説していきます。
まずジルコニアの作製方法について解説します。
通常セラミックと言われる素材は、
歯科技工士が全て手作業で作製していきます。
完全なるオーダーメイドです。
ジルコニアは、そうした今までのセラミックの作製方法とは大きくことなります。
まず歯の被せ物の設計は、コンピューター上で行ないます。
(ジルコニアの種類によって作製方法は違います
詳細はまた後で解説します)
このコンピューター上で作製した被せ物を
ミリングマシンという器械が削って作製されます。
多くの行程が 人間(歯科技工士)が触れない行程ですので
作業効率が良いため、
コストの削減にもなりますし、
コンピューター設計で、器械(ミリングマシン)が削り出して作製するため
作業を行う人間(歯科技工士)の技術者の差がでないのも特徴です。
写真で作業工程を見ていきましょう。
初診時 重度歯周病であり
上顎は全てジルコニアを使用したオールセラミックで
全て固定するタイプで作製してあります。
下顎も
右側奥歯はオールセラミック
左側奥歯はインプラントを使用したオールセラミックとなっています。
上顎の動揺(歯周病で動いている歯)の固定のために
全ての被せ物は連結しています。
さてこのようなジルコニアの作製方法になります。
まず型をとった模型をコンピューター取り込みます(データのスキャン)。

このコンピューターに取り込まれた歯形模型上で
ジルコニアセラミックを作製していきます。

完成したジルコニアはフレームという状態で完成しますので、
前歯では、このジルコニアフレームに審美性の高いセラミックをつけていきます。
この行程は歯科技工士の技術が必要なところです。
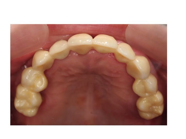
完成したジルコニアセラミックを上顎につけたのが以下です。
写真は噛む面(咬合面)から撮影した状態です。

さて次は専門的なことになってしまうので
少し難しい話ですが、
ジルコニアには、いくつかの作製タイプがあります。
本日は、その中でも使用頻度の高い2つのタイプについて解説します。
一つは、レイヤリング ジルコニアです。
これは、ジルコニアのフレームにセラミックを焼き付けて作製されます。
オールセラミックと
セラミックの違いですが、
今までセラミックと言われていたのは
見た目には、白いセラミックが見えますが、
内部には金属が使用されています。
セラミックのみでは強度が足らないからです。
そのため、金属製のフレームにセラミックを焼き付けているのです。
これを陶材焼付鋳造冠(メタルボンド)と言います。
従来のセラミックは、このタイプです。
下の写真の
左側はオールセラミック(金属を一切使用しないタイプ)で
右側は陶材焼付鋳造冠(メタルボンド)です。
さて話は戻りますが、
ジルコニアのフレームにセラミックを焼き付けて作製する
レイヤリング ジルコニアは、
先程の陶材焼付鋳造冠(メタルボンド)の金属製のフレームが
ジルコニアに変わったと思って下さい。
レイヤリング ジルコニアの特徴として、
審美性に優れています。
ジルコニアは、金属とは違い、白い素材ですが、
かなり白っぽく 審美性には優れていません。
そのため、奥歯での使用は十分可能ですが、
前歯部では、ちょっとそのままでは使用は難しいです。
そこでジルコニアのフレームに
審美性の高いセラミックを焼き付けて(貼付けて)作製するのです。
これがレイヤリング ジルコニア セラミックなのです。
このタイプには欠点もあります。
まず作製に歯科技工士の熟練作業が必要になりますので
作製時間がかかります。
技工ステップも複雑です。
そのため、コストも高くなります。
一般的には、
今までのセラミックより高価な歯科医院が多いと思います。
また他の欠点として
奥歯では破損する可能性があります。
レイヤリング ジルコニア セラミックは、
表面はセラミックです。
セラミックを他の言い方をすると
ガラスセラミックと言います。
ガラスですから破損する可能性もあります。
奥歯でこのタイプを作製すると
歯ぎしり や 食いしばりが強かったりする方では
確立はさほど高くありませんが、
セラミック部分が破損することがあります。
特にインプラントの被せ物(上部構造)では、
奥歯にセラミックを使用すると
10年で10%程度破損することがある
というデータもあります。
こうした欠点を解消するのが以下の
フルカウンター ジルコニアです。
フルカウンター ジルコニアは、
100%ジルコニアで作製されているオールセラミックのことです。
100%ジルコニアの強度(硬さ)は、
セラミックの約3〜4倍あります。
そのため、破損しにくいのが特徴です。
近年では、そうした特徴があるため、
奥歯では100%ジルコニアフルカウンター ジルコニアで作製することが増えています。
それでは問題となる審美性は大丈夫なのでしょうか?
ジルコニアの進歩は目覚ましいもので、
1年前と現在ではまったく違う状況になっています。
1年前では前歯で100%ジルコニアフルカウンター ジルコニアを使用することなど
考えにくいことでしたが、
改良されて現在では、前歯でも100%ジルコニアフルカウンター ジルコニアが使用されるようになってきています。
このとこで、前歯でも噛み合わせの負担でセラミックが破損する方にも
使用できるようになってきています。
また、ジルコニアにセラミックを焼き付ける作製行程がないため、
熟練した歯科技工士の技術も不要になるため、
コストも下がります。
歯科材料は日々進化しているのです。
次回はこうした進歩を遂げているジルコニアについて
もう少し詳細を解説します。
最新インプラント症例ブログは下記をクリックして下さい。
最新インプラント症例ブログ
インプラント基礎ブログは下記をクリックして下さい。
インプラント基礎ブログ
口臭外来ブログは、下記をクリックして下さい。
口臭外来ブログ
メール無料相談は こちらをクリック 歯科治療で分からないこと や ご心配ごと をメールして下さい。基本的に、当日に回答させていただきます。
インプラントオンライン見積もりは こちらをクリック
欠損部からインプラントの治療費や治療期間(治療回数)等をお答えします。
インターネット・オンライン予約 はこちらをクリック
休診日でも24時間 オンラインで予約が行えます。
大船駅北口歯科サイトは、以下をクリック
インプラントなら横浜の大船駅北口歯科







