ジルコニアを使用した歯周病治療
2015年 10月19日(月曜日)です。
休診案内です。
10月25日(日曜日)は休診となります。
私は学会の専門医の試験で
他の先生も学術講演参加のためです。
ご不自由をおかけしますが、よろしくお願い致します。
また、予約はインターネットでも可能ですので
以下からご予約下さい。
インターネット・オンライン予約 はこちらをクリック
休診日でも24時間 オンラインで予約が行えます。
このところ侵襲性歯周炎(進行した重度歯周病のこと)の話をしています。
私自身は、歯周病の専門医ですから
こうした進行した歯周病の治療を最も得意としています。
重度歯周病の場合、歯がグラグラしている方が多いのが現状であり、
歯が欠損していたり、
抜歯が必要な歯もでてくることもあります。
こうした場合に、
欠損部を治療したり、
動揺(グラグラする)している歯の固定を行なったり
する治療を行なうことがあります。
その一つがブリッジという方法です。
このブリッジですが、
保険診療では、
金属製であったり、
前歯はプラスチック製となります。
金属は、汚れが付着しやすいので
歯周病が進行した方には不適です。
また、プラスチック製の歯は、
さらに汚れの付着が多いので歯周病の方には避けたい素材です。
こうした進行した歯周病を治療する上で最も使用しているのが
ジルコニアという素材です。
ジルコニアは、金属と違い白い歯です。
審美的に優れています。
また、以前よく使用されていたセラミックと比較すると
圧倒的に硬い素材ですので、
破損(割れる)確立が劇的に下がります。
また硬い素材のため、傷が付きにくいのも特徴です。
被せ物は
毎日噛む力や
歯ブラシ
等で傷がつきます。
例えて言えば、
台所を想像して下さい。
ステンレス製のシンクの場合、
長年使用していると
スポンジの跡 がついたり、
傷が付きますよね。
新品の時と比較すれば、
その傷の付き方は一目瞭然です。
この擦り傷に汚れが付きやすくなるのです。
口腔内も同じです。
金属製の被せ物は傷が付きやすいのです。
もともときれいにツルツルしている金属自体も
汚れが付きやすいのですが、
傷が付くとさらに状態は悪化します。
プラスチック製については、
もっと重大なことになります。
プラスチック製は吸水性がありますので
汚れはべったりとくっつきます。
ジルコニアは、傷が非常に付きにくく、
汚れの付着も非常に少ないのが特徴です。
最近は歯周病が進行した方の被せ物には
ジルコニアを選択することが多いです。
症例を見てみましょう!
以下は重度歯周病の方の初心時の口腔内写真です。
上顎の前歯を含めて欠損部位も多くあります。
本日は被せ物の話ですので
歯周病の状態についての詳細ははぶきますが、
骨吸収が非常に進行しており、
他歯科医院では、ほとんどの歯の抜歯が必要と言われた方です。

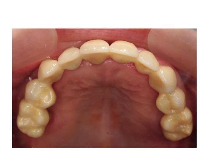
被せ物の材質がよくわかるように
噛む面(上顎を噛む面からみた状態です)からの写真です。

こうした治療は以前行なうことが多かったブリッジ形態です。
もちろん以前にも白い歯(被せ物)はありましたが、
セラミックは保険が適応されないため治療費が高額になることもあり、
保険診療をご希望される方には
こうした金属製の被せ物となっていました。
ブリッジとしては良いのですが、
どうしても汚れの付着は多く、
もともと重度歯周病の方にとっては、
清掃管理が難しい状態でした。
現在の場合には、以下のようにジルコニアを使用した被せ物を作製することが多くなりました。

審美性も良いです。
こうしたジルコニアを使用したブリッジ や 被せ物は、
単に審美性が良いということではなく、
セラミック自体が破損することが非常に少なく、
汚れの付着が少なく、
傷が付きにくいので
非常に優れていると言えます。
ジルコニアは世界的にみても
非常に使用頻度が高くなってきており、
以前まで使用されてきたセラミック(内部が金属製)の使用は、
激減しています。
歯科治療を今後考えられている方は、
ジルコニアという素材を覚えておいて下さい。
今後ジルコニアについてもまとめる予定です。
このブログが始まって以来 毎週月曜日にアップしていましたが、
現在 毎週 大学病院で外来診療と講義を行うことになったため、
ブログの更新が不規則になると思います。
毎週ご覧になっていただいている方も多くいらっしゃるかと思いますが、ご理解いただければと思います。
できるかぎり毎週月曜日にアップしたいと考えております。
最新インプラント症例ブログは下記をクリックして下さい。
最新インプラント症例ブログ
インプラント基礎ブログは下記をクリックして下さい。
インプラント基礎ブログ
口臭外来ブログは、下記をクリックして下さい。
口臭外来ブログ
メール無料相談は こちらをクリック 歯科治療で分からないこと や ご心配ごと をメールして下さい。基本的に、当日に回答させていただきます。
インプラントオンライン見積もりは こちらをクリック
欠損部からインプラントの治療費や治療期間(治療回数)等をお答えします。
大船駅北口歯科サイトは、以下をクリック
インプラントなら横浜の大船駅北口歯科


