2019年10月28日
インプラント治療を含むオールセラミック治療
2019年10月28日(月曜日)です。
このブログは「大船駅北口歯科 オールセラミック/ジルコニア/金属アレルギー専門サイト」です。
本日のケースは、
インプラント治療を含むオールセラミック治療についてです。
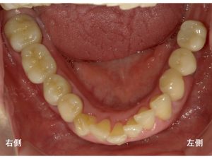
治療開始前です。

右側には金属製の被せ物があります。
左側にはインプラント治療中の状態です。

以下が治療後です。

左側のインプラント部分は、ジルコニアを使用し、
右側の奥歯もジルコニアを使用したブリッジによって治療を行いました。
審美的にも満足できる治療です。
治療費用
オールセラミック(e.max エンプレス 等)
1歯 55.000円(消費税込)
ジルコニアオールセラミック
1歯 77.000円(消費税込)〜
ワンランク上の歯科衛生士になる為のスキルアップセミナー”ペリオ編”
メール無料相談は こちらをクリック 歯科治療で分からないこと や ご心配ごと をメールして下さい。基本的に、当日に回答させていただきます。
インプラントオンライン見積もりは こちらをクリック
欠損部からインプラントの治療費や治療期間(治療回数)等をお答えします。
インターネット・オンライン予約 はこちらをクリック
休診日でも24時間 オンラインで予約が行えます。
大船駅北口歯科サイトは、以下をクリック
インプラントなら横浜の大船駅北口歯科