インプラント治療期間中の審美的問題解決方法:オールセラミック
2020年11月30日(月曜日)です。
このブログは「大船駅北口歯科 オールセラミック/ジルコニア/金属アレルギー専門サイト」です。
今日のテーマは、
『インプラント治療期間中の審美的問題解決方法:オールセラミック』になります。
さて本日は、
オールセラミックの症例というよりは、
治療期間中の審美的解決方法です。
インプラント治療は、
歯が欠損している部位に行う治療です。
また、インプラント治療は、1日(1回)で終わるわけではありませんので、
どうしても治療回数(治療期間)がかかります。
そのため、インプラント治療が終了するまで
審美的な確保が重要になってきます。
本日は、上顎前歯部にインプラント治療を行う際の
治療期間中の審美的問題の解決方法についてです。
以下は初診時です。

上顎前歯部が2歯欠損している方です。
レントゲンは抜歯直後です。

抜歯後の治療方法には、
1.義歯(入れ歯)
2.ブリッジ
3.インプラント
が考えられます。
患者様は、インプラント治療をご希望されました。
2歯欠損ですので、
通常は、以下のようになります。

しかし、インプラントの左側の歯は、
かなり状態の良くない歯です。

インプラント治療後に
もし、この歯がダメになった場合には、
どうなるのでしょうか?

インプラントを新たに1本追加することになります。

将来性を考えて、
上顎左側の前歯は、無理して残すのではなく、
抜歯と診断しました。
患者様の抜歯してのインプラント治療をご希望されました。

次に問題となるのが
抜歯した後の仮歯をどうするか?
審美性を確保できるのか?
という問題です。

まずは、
上顎左側の歯は抜歯せずに残して
仮歯を作成します。
上顎左側の1歯を土台として、
3歯分の仮歯を作成する方法です。

そして
仮歯のままインプラント手術を行います。

次に
インプラントが骨と結合した後で
左側を抜歯します。

それでは実際の口腔内を見ていきましょう。
以下はインプラント治療前です。

2歯が欠損しています。

そして、
上顎左側の1歯を土台とした仮歯を作成します。

インプラントの埋入です。

インプラント埋入直後も仮歯を使用しますので
見た目(審美性)に問題は生じません。

その時のレントゲンが以下です。

仮歯を装着してあります。

次に
インプラントと骨が結合したら
抜歯します。

抜歯直後に
インプラントに仮の土台を装着して仮歯を新たに作成します。


こうしたことで
治療期間中に歯がないことを回避します。
他の治療方法としては、
インプラントを埋入した直後に
直接仮歯を作成する方法もありますが、
その治療方法ができるかどうかは、
手術直後のインプラントと骨の結合状態によって変わります。
手術直後からインプラントが骨としっかりと結合していれば
仮歯の作成は可能です。
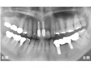
以下は治療後です。
ジルコニアアバットメントを装着して、
オールセラミックで治療を行いました。

本日はいつもとは少し違う
セラミックの話でした。
来週もオールセラミックの症例を見ていきましょう。
治療費用
オールセラミック(e.max エンプレス 等)
1歯 55.000円(消費税込):天然歯
ジルコニアオールセラミック
1歯 88.000円(消費税込):天然歯
メール無料相談は こちらをクリック 歯科治療で分からないこと や ご心配ごと をメールして下さい。基本的に、当日に回答させていただきます。
インプラントオンライン見積もりは こちらをクリック
欠損部からインプラントの治療費や治療期間(治療回数)等をお答えします。
インターネット・オンライン予約 はこちらをクリック
休診日でも24時間 オンラインで予約が行えます。
大船駅北口歯科サイトは、以下をクリック
インプラントなら横浜の大船駅北口歯科