オールセラミック と ジルコニアの違い
2020年12月 7日(月曜日)です。
このブログは「大船駅北口歯科 オールセラミック/ジルコニア/金属アレルギー専門サイト」です。
年末年始の休診案内
2020年 12月29日(火曜日) 午後から
2021年 1月 4日(月曜日)
まで休診とさせていただきます。
休診中の緊急連絡は以下よりメールでご連絡下さい。
休診中の緊急連絡先
また休診中の予約は以下からお願い致します。
24時間オンライン予約
本日のテーマは、
オールセラミック と ジルコニアの違いです。
症例を見ながら解説していきます。
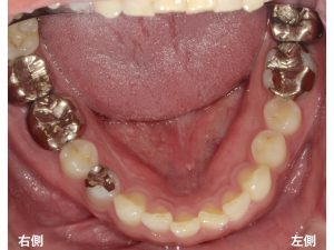
以下が初診時です。

患者様は、口腔内全体の金属を除去したいとの希望で来院されました。
まず最初に
右下の奥歯の2歯の金属を除去して、
金属を一切使用しないオールセラミックを行うことになりました。

右下一番奥歯は、親知らずで
奥から2番目と3番目が治療対象です。

奥から2番目は、ジルコニアオールセラミック
奥から3番目は、e.max オールセラミック
で治療を行います。
この違いですが、
ジルコニアは非常に強度が強いです。
奥歯に使用することが多いです。
それに対してe.maxは、
強度をそこまで必要としない部位に使用することが多いです。
今回のケースの患者様は、
比較的噛む力のお負担が強いと考えられるため、
一番奥歯は、高強度のジルコニアセラミックとしました。
以下が治療後です。



治療費用
オールセラミック(e.max エンプレス 等)
1歯 55.000円(消費税込):天然歯
ジルコニアオールセラミック
1歯 88.000円(消費税込):天然歯
メール無料相談は こちらをクリック 歯科治療で分からないこと や ご心配ごと をメールして下さい。基本的に、当日に回答させていただきます。
インプラントオンライン見積もりは こちらをクリック
欠損部からインプラントの治療費や治療期間(治療回数)等をお答えします。
インターネット・オンライン予約 はこちらをクリック
休診日でも24時間 オンラインで予約が行えます。
大船駅北口歯科サイトは、以下をクリック
インプラントなら横浜の大船駅北口歯科