歯周病の患者様に対するジルコニアブリッジ症例
2019年 1月 7日(月曜日)です。
今年初のオールセラミックブログです。
このブログは「大船駅北口歯科 オールセラミック/ジルコニア/金属アレルギー専門サイト」です。
本日のオールセラミックケースは、単にセラミックを行ったということではなく、
さまざまな問題があったケースです。
まず初診時の口腔内から見ていきましょう。
今回は上顎のみの紹介となります。
歯肉が腫れ、歯を磨くために出血が多量にあり、
多くの歯がグラグラであったため、
「歯周病ではないのか?」とご心配になり来院された患者様です。

重度歯周病の状態でした。
グラグラしていたのは、歯周病が進行することで
歯を支えていた骨が溶けてしまうことでグラグラが大きくなってきたのです。
このブログはオールセラミックのブログですので
歯周病に関しては以下の歯周病ブログをご覧下さい。
大船駅北口歯科歯周病ブログ
この方の初診時のレントゲンを見てみましょう。

骨が溶けていることを簡単に説明していきます。
もともとは骨の位置は以下の黄色線までありました。

それが歯周病が進行することで以下の赤線まで溶けてしまったのです。


歯周病があまりにも進行してしまったので
以下の×印は抜歯しか方法はありませんでした。

さて問題となるのが抜歯後です。
患者様と相談させていただいたところ、
抜歯については同意していただき、
抜歯後には、ブリッジとすることに決定しました。
上顎の前歯部は、
4歯を抜歯し、
残っている5歯でブリッジを作成することにしました。
ブリッジの材質は、金属を使用しない
ジルコニアとなりました。
ジルコニアは、セラミミックの中で最も強度のある素材ですが、
100%割れないということはありません。
100%割れないセラミックは存在しません。
ただし、
適切な噛み合わせや
ジルコニアの形態、
ジルコニアと歯の接着方法
等様々なことを考慮することで
長期的に耐えうるジルコニブリッジにすることができます。
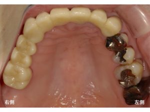
以下が治療後です。

また他の部分は治療途中です。
治療費用
オールセラミック(e.max エンプレス 等)
1歯 54.000円(消費税込)
ジルコニアオールセラミック
1歯 75.600円(消費税込)〜
ワンランク上の歯科衛生士になる為のスキルアップセミナー”ペリオ編”
メール無料相談は こちらをクリック 歯科治療で分からないこと や ご心配ごと をメールして下さい。基本的に、当日に回答させていただきます。
インプラントオンライン見積もりは こちらをクリック
欠損部からインプラントの治療費や治療期間(治療回数)等をお答えします。
インターネット・オンライン予約 はこちらをクリック
休診日でも24時間 オンラインで予約が行えます。
大船駅北口歯科サイトは、以下をクリック
インプラントなら横浜の大船駅北口歯科