オールセラミクe.Maxを使用したインプラント治療
2021年 2月 8日(月曜日)です。
このブログは「大船駅北口歯科 オールセラミック/ジルコニア/金属アレルギー専門サイト」です。
はじめにお知らせです。
新型コロナウイルス感染症(COVID-19)の拡大により
パルスオキシメーターの需要が拡大しています。
しかし、在庫不足があり、
なかなか購入ができないと患者様の声があります。
そこで
当医院でもパルスオキシメーターを個数限定ですが、
販売することにしました。
1個 8,910円(消費税込)です。
在庫がなくなりしだい販売中止となります。
ご希望の方は、
受付でお申し込み下さい。

今日のテーマは、
『オールセラミクe.Maxを使用したインプラント治療』になります。
日本人の口腔内には
金属製の治療跡が多くみられるのが特徴です。
しかし、
近年ではメタルフリーの治療が主流となっており、
金属を一切使用しないオールセラミクが一般的になってきています。
インプラント治療に関してもメタルフリーの被せ物が主流となっています。
当院では、インプラントの被せ物に金属を使用することはほとんどなくなっています。
それでは、本日の症例を見ていきましょう!
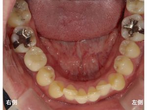
以下が初診時です。
下顎の噛む面から写真を撮った状態です。

右側の歯が欠損しています。

初診時のレントゲンは以下です。


こうした場合の治療方法として、
1.ブリッジ
2.義歯(入れ歯)
3.インプラント
が考えられます。
ブリッジは、
欠損している部分の前後の歯を削り
欠損を含めた被せ物を接着剤でつける治療法です。
固定式のため、違和感はほとんどありません。
ただし、問題となるのが
歯を削ることです。
できるかぎり健康な歯は削らない方がいいです。
歯を削っていいことはありません。
次に入れ歯です。
義歯は取り外し式です。
ブリッジのように基本歯を削ることはありません。
そのため、ブリッジのようなリスクはありません。
ただし、先にも説明しましたように取り外し式です。
毎日取り外して洗うことが必要になりますし、
義歯に対する違和感を強く感じられる方も多いです。
歯を削らないということは
非常に大きな利点ではありますが、
取り外し式であることがが欠点となります。
次にインプラントです。
インプラントは、
ブリッジのように歯を削ることはありません。
また義歯のように取り外し式でもありません。
固定式ですし、義歯のような違和感もありません。
欠点として、
インプラントを埋め込む簡単な手術が必要になります。
また保険が適応されません。
上記のようなことを説明させていただき、
患者様は、インプラント治療を選択されました。
以下は、インプラント手術直後です。

以下はインプラント手術から約3ヶ月後で、
オールセラミック(e.Max)をスクリュー固定式で装着した状態です。

以下の写真は、治療前と治療後です。
治療前

治療後

インプラントにして良かったです。
もし、
ブリッジをしていた場合には、
健康な歯を削ることになっていました。
できるかぎり
歯は削らない方が良いです。
削った歯と
削らない健康な歯とでは、
将来的なリスクは大きく変わります。
このブログは、
オールセラミクブログであり、
多くのケースでは、
天然歯にセラミックを被せる治療となります。
しかし、
今回の症例のように
欠損部があり、
ブリッジ以外の治療選択肢がある場合には、
できるかぎり歯を削らないインプラント治療を
第一選択肢として、患者様にご提案させていただきます。
最終的な治療選択は、
患者様のご希望によります。
天然歯治療費
オールセラミック(e.max エンプレス 等)
1歯 55.000円(消費税込):天然歯
ジルコニアオールセラミック
1歯 88.000円(消費税込):天然歯
インプラントの治療費については、
以下を参考にして下さい。
大船駅北口歯科:料金システム
現在デンタルローンの24回まで分割手数料 0%キャンペーンを実施しております。
詳細は以下をご覧下さい。
デンタルローン(84回まで分割お支払い可能:24回までは分割手数料 0%)
メール無料相談は こちらをクリック 歯科治療で分からないこと や ご心配ごと をメールして下さい。基本的に、当日に回答させていただきます。
インプラントオンライン見積もりは こちらをクリック
欠損部からインプラントの治療費や治療期間(治療回数)等をお答えします。
インターネット・オンライン予約 はこちらをクリック
休診日でも24時間 オンラインで予約が行えます。
大船駅北口歯科サイトは、以下をクリック
インプラントなら横浜の大船駅北口歯科