インプラントとセラミックで審美的回復を行ったケース
2021年 3月 1日(月曜日)です。
このブログは「大船駅北口歯科 オールセラミック/ジルコニア/金属アレルギー専門サイト」です。
今日のテーマは、
『インプラントとセラミックで審美的回復を行ったケース』になります。
治療前が以下です。
前歯が欠損している状態です。
お若い女性の方です。

こうした場合の治療方法として、
義歯(入れ歯)は、ちょっと考えにくいです。
女性の方ですから
義歯(入れ歯)を外した時に
歯がないのはどうでしょうか?
やっぱり嫌ですよね。
そうなると治療方法としては、
ブリッジ
と
インプラント
になります。
ブリッジはどうしても歯を削ることが必要になります。
それぞれの治療法の利点と欠点について説明させていただいた結果、
患者様は、インプラント治療を選択されました。
ここで問題となるのが
歯が欠損した部分の歯肉が痩せていることです。
インプラント治療によって
どこまで審美的回復できるかが大きなポイントとなります。
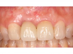
以下が治療後です。

単にインプラントを行っただけでなく、
下がった歯肉のボリュームを増やす治療法も併用しました。
欠損部の隣の審美的ではない被せ物も
オールセラミックで治療しました。
患者様は、
治療結果にご満足していただけました。
来週もオールセラミック症例をアップします。
天然歯治療費
オールセラミック(e.max エンプレス 等)
1歯 55.000円(消費税込):天然歯
ジルコニアオールセラミック
1歯 88.000円(消費税込):天然歯
インプラントの治療費については、
以下を参考にして下さい。
大船駅北口歯科:料金システム
現在デンタルローンの24回まで分割手数料 0%キャンペーンを実施しております。
詳細は以下をご覧下さい。
デンタルローン(84回まで分割お支払い可能:24回までは分割手数料 0%)
メール無料相談は こちらをクリック 歯科治療で分からないこと や ご心配ごと をメールして下さい。基本的に、当日に回答させていただきます。
インプラントオンライン見積もりは こちらをクリック
欠損部からインプラントの治療費や治療期間(治療回数)等をお答えします。
インターネット・オンライン予約 はこちらをクリック
休診日でも24時間 オンラインで予約が行えます。
大船駅北口歯科サイトは、以下をクリック
インプラントなら横浜の大船駅北口歯科