2016年4月インプラント症例ブログ
2016年 4月 7日(木曜日)です。
このブログはインプラント症例を紹介するブログです。
さて最近ブログを書く時間がないため、更新頻度が遅れています。
本日の症例は、最近インプラントの手術を行ったばかりのケースをいくつか紹介します。
まず1症例目です。
上顎右側(皆さんから見て左手側)のブリッジが
虫歯 と 歯根破折 でグラグラしているため、
保存が難しい状態でした。
下顎の左右には、すでにインプラント治療を行っている患者様です。
そのため、インプラント治療については、
十分理解がありましたので、
上顎右側(皆さんから見て左手側)のブリッジ部の歯を抜歯した後には
インプラント治療を希望されました。
抜歯前の状態が以下のレントゲンです。

抜歯後、インプラント埋入手術を行ったのが以下のレントゲンです。

中心(前歯)に近いインプラントは、
ストローマンの新しいタイプである ボーンレベル インプラント です。
奥の1本だけは、従来からあるスタンダードプラス インプラント(SLA) です。
骨吸収も大きく難しい治療でした。
さて、次の症例になります。
上顎左側(皆さんから見て右手側)の2歯がグラグラで噛めないとのことでした。

患者さんにとってこの2歯は、非常に重要な歯とのことです。
それは、上顎の欠損部は、義歯(入れ歯)を使用しているのですが、
上顎左側(皆さんから見て右手側)の2歯に入れ歯の金具を付けいているのです。
普段義歯を使用している方であれば
義歯(部分入れ歯)に金具がついていることはお分かりのことと思います。
この上顎左側(皆さんから見て右手側)の2歯が抜歯(ダメ)となると
入れ歯はかなり使用が大変になります。
患者様ご自身も この上顎左側(皆さんから見て右手側)の2歯がダメになった場合には、
義歯が使用できなくなるのではないかと 大きな不安を持っていました。
そこで、抜歯後に噛むことに問題がないようにしたいとの強い希望がありましたので、
抜歯前にその対策について患者様に説明致しました。
まず上顎左側(皆さんから見て右手側)の2歯の抜歯前に
上顎にインプラントを4本埋め込むことを計画しました。
そして、インプラントと骨がくっつく(結合する)まで約3〜4ヶ月待ちます。
骨とインプラントがしっかりとくっつくことを確認した後
上顎左側(皆さんから見て右手側)の2歯を抜歯します。
この時にインプラントと義歯をつなぐ留め金のようなものを
インプラントに取り付けます。
このインプラントと義歯をつなぐ器具を
アタッチメントと言います。
以下はインプラント手術直後のレントゲンです。

こうすることで、
抜歯直後からまったく問題なく、食事が可能となります。
事前の計画が重要なのです。
使用したインプラントは、ストローマン スタンダードプラス インプラント(SLA)です。
次の症例は、奥歯がほとんど虫歯の方でした。
以下が初診時のレントゲンです。

抜歯後、インプラント手術直後が以下のレントゲンです。

下顎左側(皆さんからみて右手側)は、骨が非常に固く
長いインプラントを埋め込むのが困難であったので短いインプラントとなっています。
通常はこうしたことが起こることはほとんどなく、
私の経験の中でも非常に稀なケースと言えます。
使用したインプラントは、
ストローマンの ボーンレベル インプラント です。
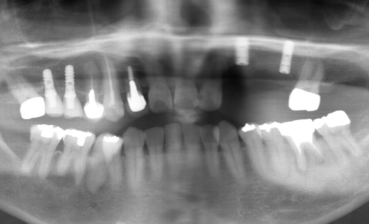
さて 次の患者様です。
これを最後にしましょう。
上顎左側奥歯(皆さんの右手側です)が、3歯欠損で、
現在義歯(部分入れ歯)を使用されています。

義歯の使用が困難なため、インプラント治療を希望されました。
右側(皆さんの左手側)は、すでにインプラント治療を経験されていますので、
インプラント治療の良さはすでにご存知ですので、
今回 左側奥歯(皆さんの左手側)もインプラント治療をご希望されました。
インプラント手術直後のレントゲンが以下になります。

使用したインプラントは、
ストローマン ボーンレベルインプラント です。
本日の症例は、ここ最近のインプラント手術直後の状態だけでした。
上記の症例は、インプラントモニターの方です。
インプラントモニターにご協力いただけると
インプラント手術費用から20%割引とさせていただきます。
インプラントモニターの詳細については、下記をクリックして下さい。
インプラントモニター(手術費用20%割引)
今回のモニター募集は、できるかぎり多くの症例を掲載したいと思っているため、1歯欠損も募集しています。
何歯欠損でも大丈夫ですので、ご希望がございましたらご連絡下さい。
治療費
上記の症例をインプラントモニターで行った場合の治療費は以下になります。
インプラント 1本 160.000円(消費税別)
被せ物(白い歯) 1装置 100.000円(消費税別)〜
インプラントの土台(アバットメント) 1装置 54.000円(消費税別)
になります。
治療費をさらに抑える方法として 被せ物を金属製にする方法があります。
金属製の被せ物は、1歯 90.000円(消費税別)になります。
当医院のインプラント治療費用の中には、
治療中のレントゲン撮影や薬代、
土台(アバットメント) の費用、
仮歯 の費用、
治療経過のレントゲン撮影、
セラミック等の被せ物の費用、
スプリッティング法(リッジエクスパンジョン法) 、
OAM(大口式)インプラントシステム 、
GBR法(骨増大法:インプラント埋入と同時の場合) 、
ソケットリフト法 の費用、
静脈内鎮静法(眠っている間に終了します) の費用も含まれています。
治療計画以上の追加費用はありません。
全て含まれた費用です。
最近インプラント治療を行う際に静脈内鎮静法(眠っている間に終了します) をご希望される方が非常に多くなってきています。
そこで、静脈内鎮静法 による麻酔をもっと多くの方にご利用していただくために 今まで3万円かかっていた費用を無料にしました。
これは、静脈内鎮静法 でインプラント治療を行いたいが、麻酔費用がかかるのがネックと考えられ断念されるケースがでてきたためです。
そのため、暫くの間 試験的に無料とさせていただくことにしました。
ご希望の方は、ご利用下さい。
圧倒的に楽にインプラント治療が行えます。
インプラント無料相談
現在インプラント無料相談を受け付けています。
詳細は以下をご覧になって下さい。
インプラント無料相談
・ メール無料相談は こちらをクリック
歯科治療で分からないこと や ご心配ごと をメールして下
さい。
基本的に、当日に回答させていただきます。
・ インプラントオンライン見積もりは こちらをクリック
欠損部からインプラントの治療費や治療期間(治療回数)等をお答えします。
・インターネット・オンライン予約 はこちらをクリック
休診日でも24時間 オンラインで予約が行えます。
大船駅北口歯科インプラントセンターインプラント 歯周病 専門医
神奈川県横浜市にある 日本歯周病学会歯周病専門医 国際インプラント学会認定医の歯科医院
I.T.Iインプラント認定医でもあり、 GBR法 、 サイナスリフト、 審美インプラント等の難症例も行います。
HPでは 治療費(費用)の説明や インプラント症例、 無料相談コーナーもあります。