さまざまなインプラント治療の進め方:患者様に合わせた治療方法
2016年11月 3日(木曜日)です。
久しぶりの休みで、ようやくゆっくりとブログを書くことができます。
今日のブログは治療計画の話です。
例えば、
欠損が多くあったり、
上下顎左右側にに問題があり、抜歯後にインプラント治療を計画している場合に
どこから治療を開始した方が良いのか?
悩むことがあります。
治療をどんどんと進めていき、早く噛めるようになるには
インプラント治療を同時進行で行うことが有効です。
インプラント治療を上下顎左右側を同時に行えば、
治療期間は最短で完了します。
しかし、さまざまなことでインプラント治療を一度に進めることが難しいことがあります。
その理由は様々です。
例えば
左右の奥歯に抜歯が必要な状態があったとします。
治療を最短で進めたい場合には、
左右側の奥歯を同時に抜歯し、
インプラントの手術自体も
左右側を同時
もしくは
片側づつ行ったとしてもできるかぎり早急に行うことで
治療期間を最短にすることができます。
しかし、左右同時に抜歯することで噛む場所を一気に失うことにもなります。
インプラント治療は1日で終わることはありません。
下顎であれば通常 インプラントを埋入してから
約2〜3ヶ月という期間で
インプラントと骨がくっつきます。
この期間は通常噛むことが難しくなります。
ただし、欠損部の状態によっては、
固定式の仮歯を作製したり、
義歯を使用することももちろん可能です。
固定式の仮歯であれば、
治療期間中も噛むことにさほど問題を感じることはありません。
しかし、義歯の場合、個人差はありますが、
義歯の使用が非常に難しい方がいらっしゃいます。
義歯自体に違和感があったりする場合には
治療期間中に噛めないということが現実問題としてあります。
このような場合、
左右同時に治療を進めることが難しいため、
まず片側(上下顎別々)で治療を進めることになります。
また治療費の問題で一度にインプラント治療を行えない場合もあります。
本当は欠損部を全てインプラント治療を行いたいが、
治療費の問題でまずは、片側のみとか
というケースも現実的には多いです。
左右奥歯が欠損している場合には
まず片側のみをインプラント治療を行って、
インプラントを行った部位でしっかり噛めるようにします。
そして、もう片側は、また時期をみて行うかどうかを判断します。
インプラント治療の進め方には、
さまざまなことが考えられますので、
患者様のご希望をふまえて治療計画を立てることが大切です。
前置きが長くなりましたので、臨床ケースを始めたいと思います。
始めの方は、上顎がブリッジで残っていますが、
そのブリッジがグラグラでまったく噛めない方です。
上顎は全てつながっていますが、指で触れると取れそうなくらいグラグラです。
抜歯以外方法はないと言えます。
また下顎右側(みなさんから見て左手側です)奥歯も
グラグラです。
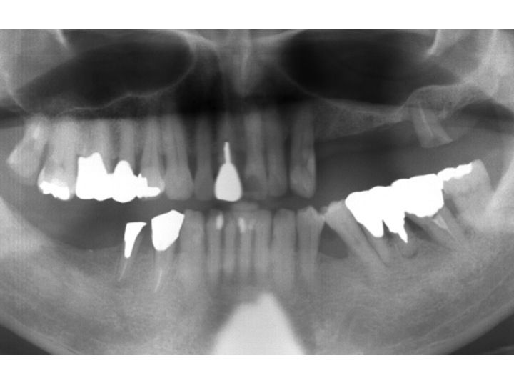
以下が初診時のレントゲンです。

歯自体はグラグラなので、
まず抜歯し、義歯を作製することになりました。
次のステップとして、インプラント治療の計画を立てます。
義歯の使用が困難であったり、
患者様が嫌であった場合には、インプラント治療となります。
ただし、インプラント治療には費用が高額になるため、
一度に行うことが難しいことがあります。
今回の患者様の場合、
まず下顎の右側(みなさん側からみて左手側)からインプラント治療を開始することになりました。
以下が下顎右側の奥歯に2本のインプラント手術が終わった直後です。
下顎右側奥歯(みなさん側からみて左手側)に2本のインプラントで3歯分の被せ物をする
インプラントブリッジとなります。

まず下顎の片側にインプラントによって噛めることで
食事もできるようになります。
インプラントを行った反対側(右手側)の奥歯もグラグラしており、
噛みにくいということからも 下顎を先にインプラント治療を進めた一つの理由でもあります。
現在上顎のインプラント治療を進めているところです。
さて次のケースです。
上顎の左側(みなさんからみて右手側)の奥歯が欠損しています。
下顎の右側(みなさんからみて左手側)の奥歯も欠損しています。
ということは、左右両方で噛めないということになります。

同時進行の治療が最も早く噛めることになりますが、
先ほどと同じように
患者様のご希望であったり、
ご都合もあり
上下顎別々に治療を進めることもあります。
まずは下顎右側(みなさんからみて左手側)のインプラント手術から始めました。

下顎の右側(みなさんからみて左手側)が噛めるようになり、
上顎左側(みなさんからみて右手側)にインプラントを埋め込む手術を開始しました。
このケースでは、骨の高さが非常に少ないので
ソケットリフト法という治療を行い、インプラントを埋入しました。
以下が上顎側(みなさんからみて右手側)にインプラント手術を行った直後です。

以下は、上顎左側(みなさんからみて右手側)の奥歯にインプラントの被せ物を装着した状態です。

さて次の症例を見てみましょう!
下顎左側(みなさんからみて右手側)に2歯の欠損があります。
欠損部で噛めないとのことでしたので、
患者様のご希望によりインプラント治療を行うことになりました。

ここで問題があるのは、この欠損部だけではありません。
実は上顎右側の奥歯も問題が非常に大きくあったのです。
上顎右側は、みなさんからみて左手側ということです。
上顎右側の奥歯はすでに2歯が欠損しており、
ブリッジで対応してありました。
ブリッジはどうしても欠損部に加わる力の負担を支えるため
土台となる歯に過大な力が加わりやすい治療法です。
ブリッジは義歯のように取り外し式ではありませんので
違和感は義歯よりはるかに少ないですが、
欠点も多い治療です。
今回のケースでは、下顎左側(みなさんからみて右手側)の奥歯が欠損したことで
右側でしかか噛めないようになったことも
上顎右側奥歯(みなさんからみて左手側)のブリッジに問題が起こった一つの原因にもなります。
上顎右側(みなさんからみて左手側)ブリッジの手前の歯は
根が折れている状態でした。
この歯は抜歯です。
しかし、上顎右側も抜歯してしまうと噛むところがなくなってしまいますので
まずは下顎左側(みなさんからみて右手側)にインプラント治療を先に行うことになりました。
以下が治療後です。

下顎左側(みなさんからみて右手側)がしっかりと噛めるようになってから
上顎右側の奥歯(みなさんからみて左手側)にインプラント治療を開始することになりました。
以下が上顎右側の奥歯(みなさんからみて左手側)の手術直後のレントゲンです。

このケースも先日手術が終わったばかりです。
さて次のケースを見てみましょう!
上顎左側(みなさんからみて右手側)の奥歯が欠損しています。

本日はインプラントの手術方法の話ではないので
細かい手術方法については、説明致しませんが、
骨吸収が著しく、インプラントが埋め込めない状態の部位があります。
そのため、骨吸収の大きい部位は避けて、親知らず部位に
インプラントを斜めに埋め込む インプラント傾斜埋入という方法で対応しました。
以下が上顎左側(みなさんからみて右手側)にインプラント手術が終わり、
被せ物を装着した後のレントゲンです。

これにより左側(みなさんからみて右手側)で噛めるようになりました。
実は、下顎右側奥歯(みなさんからみて左手側)にも大きな問題があったのです。
下顎右側奥歯(みなさんからみて左手側)は、歯根破折のため、抜歯が必要な状態でありました。
しかし、この歯根破折をしており、抜歯が必要ではありますが、
痛みはありません。
そのため、噛む場所をしっかりと確保することを目的として
先に上顎左側(みなさんからみて右手側)のインプラント治療を先行させました。
しっかりと噛める部位を確保してから治療を開始することは大切なことです。
現在の状態が以下です。

本日紹介したケースは、
治療期間中を少しでも噛めるようにするために、
無理した治療計画ではなく、
治療を進めたり、
治療費の問題から まずは現状でできる部位から行うことで
噛むことを優先させたケースを紹介しました。
治療の進め方にはさまざまな方法があるのです。
治療費
上記の症例をインプラントモニターで行った場合の治療費は以下になります。
インプラント 1本 160.000円(消費税別)
被せ物(白い歯) 1歯分 100.000円(消費税別)〜 になります。
治療費をさらに抑える方法として 被せ物を金属製にする方法があります。
金属製の被せ物は、 1歯分 90.000円(消費税別)になります。
インプラントの土台(アバットメント)は、1装置54.000円(消費税別)になります。
インプラントモニターの詳細は、以下をご覧下さい。
インプラントモニターは期間限定で行なっている制度です。
モニター終了後は通常料金となりますので、
ご希望される方は、お早めに受けられて下さい。
治療費は現時点での費用であり、今後変更になる可能性があります。
当医院のインプラント治療費用の中には、
治療中のレントゲン撮影や薬代、
治療経過のレントゲン撮影、
セラミック等の被せ物の費用、
スプリッティング法(リッジエクスパンジョン法) 、
GBR法(骨増大法:インプラント埋入と同時の場合) 、
ソケットリフト法 の費用が含まれています。
インプラントモニター募集(インプラント手術費用20%割引
インプラントモニターの詳細については、下記をクリックして下さい。
インプラントモニター制度(手術費用から20%割引)
今回のモニター募集は、できるかぎり多くの症例を掲載したいと思っているため、1歯欠損も募集しています。
何歯欠損でも大丈夫ですので、ご希望がございましたらご連絡下さい。
・ メール無料相談は こちらをクリック
歯科治療で分からないこと や ご心配ごと をメールして下
さい。
基本的に、当日に回答させていただきます。
・ インプラントオンライン見積もりは こちらをクリック
欠損部からインプラントの治療費や治療期間(治療回数)等をお答えします。
・インターネット・オンライン予約 はこちらをクリック
休診日でも24時間 オンラインで予約が行えます。
大船駅北口歯科インプラントセンターインプラント 歯周病 専門医
神奈川県横浜市にある 日本歯周病学会歯周病専門医 国際インプラント学会認定医の歯科医院
I.T.Iインプラント認定医でもあり、 GBR法 、 サイナスリフト、 審美インプラント等の難症例も行います。
HPでは 治療費(費用)の説明や インプラント症例、 無料相談コーナーもあります。