オールセラミック
2016年12月 8日(木曜日)です。
このブログは「大船駅北口歯科 インプラント症例専門サイト」です。
このところ インプラントとオールセラミックについて解説しています。
最近は本当に口腔内の金属をオールセラミックに変える方が多くなりました。
口腔内に金属があることは、単に見た目の問題だけではありません。
口腔内金属は、もちろん金属アレルギーの問題もありますが、
オールセラミックと比較すると虫歯になりやすくなります。
このことは、ブログでも何度か解説したことがあります。
一般的に保険で使用される金属は12%金銀パラジウム合金といわれます。
その成分組成はメーカーにより多少は違いますが、
金 約12%、
銀 約48%、
パラジウム 約20%
銅 約18%
イリジウム、インジウム 約1%
といったところです。
(小数点以下は切り上げています)
この成分の中でパラジウムは比較的アレルギーの高い金属であり、
世界的にはパラジウムフリーの治療が勧められていますが、
日本では保険診療の中に含まれているため、
パラジウムフリーがまったく進んでいません。
世界的にも稀な歯科治療と言えます。
日本の歯科保険診療は世界的にみても相当遅れているのが実情です。
さてこの金属治療ですが、
歯に付ける時には、セメントといわれる素材でつけます。
このセメントは、歯や金属と接着しているわけではないのです。
セメントは、粉と液でできている場合が多く、
まぜた時点では 柔らかい状態です。
(粉と液でないセメントもあります)
この柔らかいセメントを歯と金属の間に介在させます。
約3〜5分程度で硬化します。
セメントは、歯や金属にくっついているわけではなく、
間に介在し、硬く固まっているのです。
このセメントは、時間の経過とともに状態が変化をしてきます。
噛む力であったり、
金属の熱膨張の繰り返しであったり
さまざまな要因でセメントは壊れて行きます。
例えて言えば、
家の外壁に使用するタイルとタイルの間に介在させている
セメントが崩壊するようなものです。
地震により 家の外壁が壊れたりするのと近い状態です。
セメントが破壊されていくと
歯と金属の間に隙間ができます。
もちろん目でみて分かる大きさの隙間ではないことが多いですが、
細菌にとっては、とても大きな隙間です。
このセメントが崩壊した隙間に細菌が入り込み
金属と歯の間から虫歯になることが多いです。
よくあることとして、
金属が取れて歯科医院を受診された際に
中で虫歯になっていることを言われた方も多いかと思います。
金属が取れてすぐに歯科医院を受診したにもかかわらず
中では、虫歯が進行していたのです。
いつ虫歯になったのか?
と思われると思います。
こうした場合、取れるだいぶ前から虫歯が進行しはじめ
セメントが崩壊し、
結果的に金属が取れたのです。
ここで問題なのが、
取れた中でどれだけ虫歯が進行しているのか?
ということです。
虫歯の進行が大きくなければ
治療自体も簡単ですし、
歯へのダメージも少ないです。
しかし、虫歯が進行していた場合には、
虫歯を取り除く必要性があるため、
結果的に多くの歯を削ることになる場合があります。
虫歯があまりにも大きい場合には
神経を取り除く治療(抜随)が必要なこともあります。
こうしたことを経験されたことがある方も多いのではないでしょうか。
オールセラミックは、
金属治療とは大きく違います。
オールセラミック自体は、金属とは違い脆い素材です。
そのため、歯とオールセラミックをしっかりと接着させることが必要になります。
必要といいますか
しっかりと接着させないといけない治療です。
歯 と オールセラミックをしっかりと接着させないと
セラミックは割れてしまうのです。
歯とオールセラミックを強固に接着させるのが、
レジンセメントです。
このレジンセメントは、
先ほどの金属をつけるセメントとは大きくことなり、
崩壊することが非常に少ないのです。
そのため、虫歯になりにくいと言えます。
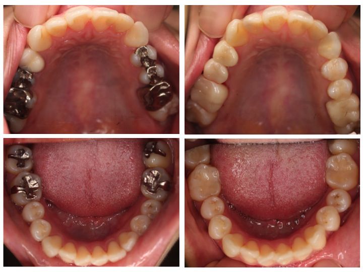
最後に臨床例をみてみましょう。

左側が初診時で右側が治療後です。
このように口腔内全ての金属の除去を希望されて来院される患者様は
非常に多いです。
毎日のようにオールセラミック治療を行っています。
オールセラミックの治療費は、
1歯 54.000円(消費税込)となります。
上顎は全てオールセラミックで治療を行っていますが、
下顎は保険診療でレジンという素材で治療を行っています。
部分的な小さな詰め物は、保険診療でも十分治療可能です。
インプラントの治療費
上記の症例をインプラントモニターで行った場合の治療費は以下になります。
インプラント 1本 160.000円(消費税別)
被せ物(白い歯) 1歯分 100.000円(消費税別)〜 になります。
治療費をさらに抑える方法として 被せ物を金属製にする方法があります。
金属製の被せ物は、 1歯分 90.000円(消費税別)になります。
インプラントの土台(アバットメント)は、1装置54.000円(消費税別)になります。
インプラントモニターの詳細は、以下をご覧下さい。
インプラントモニターは期間限定で行なっている制度です。
モニター終了後は通常料金となりますので、
ご希望される方は、お早めに受けられて下さい。
治療費は現時点での費用であり、今後変更になる可能性があります。
当医院のインプラント治療費用の中には、
治療中のレントゲン撮影や薬代、
治療経過のレントゲン撮影、
セラミック等の被せ物の費用、
スプリッティング法(リッジエクスパンジョン法) 、
GBR法(骨増大法:インプラント埋入と同時の場合) 、
ソケットリフト法 の費用が含まれています。
インプラントモニター募集(インプラント手術費用20%割引
インプラントモニターの詳細については、下記をクリックして下さい。
インプラントモニター制度(手術費用から20%割引)
今回のモニター募集は、できるかぎり多くの症例を掲載したいと思っているため、1歯欠損も募集しています。
何歯欠損でも大丈夫ですので、ご希望がございましたらご連絡下さい。
・ メール無料相談は こちらをクリック
歯科治療で分からないこと や ご心配ごと をメールして下
さい。
基本的に、当日に回答させていただきます。
・ インプラントオンライン見積もりは こちらをクリック
欠損部からインプラントの治療費や治療期間(治療回数)等をお答えします。
・インターネット・オンライン予約 はこちらをクリック
休診日でも24時間 オンラインで予約が行えます。
大船駅北口歯科インプラントセンターインプラント 歯周病 専門医
神奈川県横浜市にある 日本歯周病学会歯周病専門医 国際インプラント学会認定医の歯科医院
I.T.Iインプラント認定医でもあり、 GBR法 、 サイナスリフト、 審美インプラント等の難症例も行います。
HPでは 治療費(費用)の説明や インプラント症例、 無料相談コーナーもあります。