インプラント症例
2017年10月 5日(木曜日)です。
このブログは「大船駅北口歯科 インプラント症例専門サイト」です。
本日もインプラント手術を行なったケースをご紹介します。
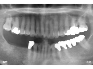
初診時に下顎右側の奥歯が3歯分欠損していました。

通常3歯欠損ですから3歯分の歯を作成します。
インプラント治療の場合、3本のインプラントが必要ということではなく、
通常3歯欠損の場合には、
2本のインプラントを埋入し、
3歯分の被せ物を作成するインプラントブリッジとすることが多いです。
しかし、骨の吸収状態が悪く、
短いインプラントしか埋入できなかったり、
噛み合わせの問題があった場合には、
インプラントの本数を増やして
3本のインプラントとすることもあります。
しかし、インプラントの使用本数が多ければ
それだけ治療費もかかってしまいますので
通常は2本のインプラントでブリッジとすることが多いです。
今回のケースでは、3歯分の歯は作成しない治療計画となりました。
具体的には
2本のインプラントを埋入し、
2歯分の被せ物を作成する方法です。
つまり一番奥歯には、何も行わないという計画です。
患者様は、一番奥までは治療を希望されなかったことと
義歯がご使用できないため、
インプラントとなれば一番奥まで歯がなかったとしても
今まで以上には確実に噛めるようになるので
費用負担を軽減するためにも
一番奥までは治療をご希望されませんでした。
こうしたことは比較的よくあります。
どこまで治療を行うのかは患者様のご希望です。
以下がインプラント手術が終わった直後です。

今から約2ヶ月を経過すると
インプラントと骨がくっつきますので
型をとることになります。
本日は時間がなく、1症例のみの報告になりました。
次回はできる限り多くの症例をアップしたいと思います。
クリックでの応援よろしくお願い致します
治療費
上記の症例をインプラントモニターで行った場合の治療費は以下になります。
インプラント 1本 160.000円(消費税別)
被せ物(白い歯) 1歯分 100.000円(消費税別)〜 になります。
治療費をさらに抑える方法として 被せ物を金属製にする方法があります。
金属製の被せ物は、 1歯分 90.000円(消費税別)になります。
インプラントの土台(アバットメント)は、1装置54.000円(消費税別)になります。
インプラントモニターの詳細は、以下をご覧下さい。
インプラントモニター詳細
インプラントモニターは期間限定で行なっている制度です。
モニター終了後は通常料金となりますので、
ご希望される方は、お早めに受けられて下さい。
治療費は現時点での費用であり、今後変更になる可能性があります。
当医院のインプラント治療費用の中には、
治療中のレントゲン撮影や薬代、
治療経過のレントゲン撮影、
セラミック等の被せ物の費用、
スプリッティング法(リッジエクスパンジョン法) 、
GBR法(骨増大法:インプラント埋入と同時の場合) 、
ソケットリフト法 の費用が含まれています。
インプラントモニター募集(インプラント手術費用20%割引
インプラントモニターの詳細については、下記をクリックして下さい。
インプラントモニター制度(手術費用から20%割引)
今回のモニター募集は、できるかぎり多くの症例を掲載したいと思っているため、1歯欠損も募集しています。
何歯欠損でも大丈夫ですので、ご希望がございましたらご連絡下さい。
・ メール無料相談は こちらをクリック
歯科治療で分からないこと や ご心配ごと をメールして下
さい。
基本的に、当日に回答させていただきます。
・ インプラントオンライン見積もりは こちらをクリック
欠損部からインプラントの治療費や治療期間(治療回数)等をお答えします。
・インターネット・オンライン予約 はこちらをクリック
休診日でも24時間 オンラインで予約が行えます。
大船駅北口歯科インプラントセンターインプラント 歯周病 専門医
神奈川県横浜市にある 日本歯周病学会歯周病専門医 国際インプラント学会認定医の歯科医院
I.T.Iインプラント認定医でもあり、 GBR法 、 サイナスリフト、 HPでは 治療費(費用)の説明や 無料相談コーナーもあります。