上顎で骨の高さと幅が少ない場合のインプラント治療:ソケットリフト法とGBR法(骨増大治療)
2018年 3月15日(木曜日)です。
このブログは「大船駅北口歯科 インプラント症例専門サイト」です。
先日行なったインプラント手術のケースを見ていきましょう。
上顎右側の奥歯が4歯欠損している患者様です。

インプラント治療を成功に導くためには骨の状態が良くないといけません。
簡単に言えば、骨の幅や高さが十分にあることが必要です。
インプラントはチタン製でできたネジを顎の骨の中に埋め込むわけですから
骨がしっかりしていないといけません。
長く、太いインプラントを埋め込むことができれば
そのインプラントは非常に安定していると言えます。
今回のケースでは骨吸収が非常に大きかったので
少し大変なケースではありました。
早速解説していきます。
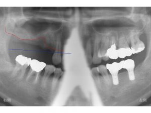
以下の青線は、元々の骨があった位置です。
骨吸収する前はだいたいこの位置まで骨があったと考えて下さい。

以下の写真の赤線は現在の骨の位置です。
歯周病等問題のある状態が長くあったため、
歯を支えていた骨が吸収(溶けて)しまったのです。

これだけ骨吸収を起こすとインプラント治療を難しくします。
次に説明するのは上顎洞という話です。
上顎洞というのは
上顎の奥歯の上の方にある空洞のことです。
この空洞は誰にでもあるものですが、大きさや形態には個人差があります。
ただ言えることは、上顎の奥歯の上方には空洞があるということです。
以下は上顎洞の空洞の下の線です。
上顎洞底といいます。
緑色で表示します。

現在ある骨の高さは赤線と青線の間ということになります。
前歯に近い欠損部には骨の高さはある程度残っています。

しかし、その奥になると骨吸収が大きくなり、骨の残っている高さは非常に少なくなります。

さらにその奥も骨吸収が大きいため、骨の高さは非常に少ないです。

一番奥歯については、骨の高さは少ないですが、ある程度残っています。

こうした骨吸収がある状態でしたので
手前から2番目にはソケットリフト法とGBR法を併用してインプラントを埋入しました。
一番奥にはソケットリフト法を併用してインプラントを埋入しました。
ソケットリフト法は上顎の奥歯において骨の高さが少ない場合に行う方法で、
人工骨を上顎洞内に入れて、高さを増大し、少しでも長いインプラントを埋め込む方法です。
GBR法は今回は骨の幅が少ない部分に対して人工骨を入れて増やす対応を行いました。
以下が治療直後です。

3ほんと骨の増大法も行いましたが手術時間は比較的短く約20分程度でした。
次回もまたインプラントの症例を報告します。
クリックでの応援よろしくお願い致します
ワンランク上の歯科衛生士になる為のスキルアップセミナー”ペリオ編”
治療費
上記の症例をインプラントモニターで行った場合の治療費は以下になります。
インプラント 1本 160.000円(消費税別)
被せ物(白い歯) 1歯分 100.000円(消費税別)〜 になります。
治療費をさらに抑える方法として 被せ物を金属製にする方法があります。
金属製の被せ物は、 1歯分 90.000円(消費税別)になります。
インプラントの土台(アバットメント)は、1装置54.000円(消費税別)になります。
インプラントモニターの詳細は、以下をご覧下さい。
インプラントモニター詳細
インプラントモニターは期間限定で行なっている制度です。
モニター終了後は通常料金となりますので、
ご希望される方は、お早めに受けられて下さい。
治療費は現時点での費用であり、今後変更になる可能性があります。
当医院のインプラント治療費用の中には、
治療中のレントゲン撮影や薬代、
治療経過のレントゲン撮影、
セラミック等の被せ物の費用、
スプリッティング法(リッジエクスパンジョン法) 、
GBR法(骨増大法:インプラント埋入と同時の場合) 、
ソケットリフト法 の費用が含まれています。
インプラントモニター募集(インプラント手術費用20%割引
インプラントモニターの詳細については、下記をクリックして下さい。
インプラントモニター制度(手術費用から20%割引)
今回のモニター募集は、できるかぎり多くの症例を掲載したいと思っているため、1歯欠損も募集しています。
何歯欠損でも大丈夫ですので、ご希望がございましたらご連絡下さい。
・ メール無料相談は こちらをクリック
歯科治療で分からないこと や ご心配ごと をメールして下
さい。
基本的に、当日に回答させていただきます。
・ インプラントオンライン見積もりは こちらをクリック
欠損部からインプラントの治療費や治療期間(治療回数)等をお答えします。
・インターネット・オンライン予約 はこちらをクリック
休診日でも24時間 オンラインで予約が行えます。
大船駅北口歯科インプラントセンターインプラント 歯周病 専門医
神奈川県横浜市にある 日本歯周病学会歯周病専門医 国際インプラント学会認定医の歯科医院
I.T.Iインプラント認定医でもあり、 GBR法 、 サイナスリフト、 HPでは 治療費(費用)の説明や 無料相談コーナーもあります。