CT撮影で骨吸収を診断し骨再生GBR法(骨増大治療)を行いインプラントを埋入した症例
2018年 4月 5日(木曜日)です。
このブログは「大船駅北口歯科 インプラント症例専門サイト」です。
本日はCT撮影にて骨吸収が大きかった部位の診断をし、
骨再生GBR法(骨増大治療)を行いインプラントを埋入した症例です。
まあよくあるといったらよくある症例ではあります。
歯周病を放置したり、
歯が割れている状態を放置したり、
抜歯して時間が経過することで
顎の骨は吸収をしてきます。
インプラントは顎の骨の中にインプラントを埋め込む治療です。
そのため、インプラントを適切に埋め込むための
骨の幅や高さがないとインプラントができないのです。
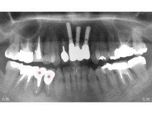
早速初診時のレントゲンからみてみましょう。
上顎前歯部のインプラント治療は以前に他の歯科医院で行なっていました。
患者様の主訴は下顎右側の奥歯の腫れと痛みです。

以下の*印の歯が歯根破折しており残すことが不可能であったため
抜歯と診断しました。


歯根破折の状態が続くと破折した部位から細菌が侵入し、
感染を起こします。
この感染が進むと歯を支えている骨の吸収が起こるのです。
問題なのは、骨吸収の状態です。
骨吸収する前の状態が以下の青線です。
ここまで本来は骨があったのです。

現在の骨の状態が以下の赤線です。
骨吸収がかなり進行しているのです。

骨吸収する前の青線と
骨吸収した赤線を重ねると以下になります。

本日は抜歯後の状態をCT撮影したデータでみてみましょう。
以下がCTから得られたデータを元に
顎骨の状態を3D化したものです。

これも分かりにくので線を書いて解説します。
以下の赤線が頬側の骨吸収した状態です。
緑線は舌側の骨吸収した状態です。

元々の骨は以下の黄色線です。

元々の骨の位置(黄色線)と骨吸収した位置(赤線)を比較したのが以下です。

CT撮影した他のデータもみてみましょう。
今度は骨の幅です。

骨の厚みはこの部分です。

現在骨吸収が起こっており、以下の赤線まで骨が吸収しています。

元々の骨は以下の白線のような形態だったのです。

両方の状態を重ねてみてみましょう。
白と赤の間が骨が吸収した部分です。

この状態でインプラントを行うと
以下のようになります。(これはシュミレーションです)

以下の黄色部分に骨がないのです。

以下が先日手術を行なった直後のレントゲンです。
インプラント埋入と同時に骨を再生させる治療を行いました。

クリックでの応援よろしくお願い致します
ワンランク上の歯科衛生士になる為のスキルアップセミナー”ペリオ編”
治療費
上記の症例をインプラントモニターで行った場合の治療費は以下になります。
インプラント 1本 160.000円(消費税別)
被せ物(白い歯) 1歯分 100.000円(消費税別)〜 になります。
治療費をさらに抑える方法として 被せ物を金属製にする方法があります。
金属製の被せ物は、 1歯分 90.000円(消費税別)になります。
インプラントの土台(アバットメント)は、1装置54.000円(消費税別)になります。
インプラントモニターの詳細は、以下をご覧下さい。
インプラントモニター詳細
インプラントモニターは期間限定で行なっている制度です。
モニター終了後は通常料金となりますので、
ご希望される方は、お早めに受けられて下さい。
治療費は現時点での費用であり、今後変更になる可能性があります。
当医院のインプラント治療費用の中には、
治療中のレントゲン撮影や薬代、
治療経過のレントゲン撮影、
セラミック等の被せ物の費用、
スプリッティング法(リッジエクスパンジョン法) 、
GBR法(骨増大法:インプラント埋入と同時の場合) 、
ソケットリフト法 の費用が含まれています。
インプラントモニター募集(インプラント手術費用20%割引
インプラントモニターの詳細については、下記をクリックして下さい。
インプラントモニター制度(手術費用から20%割引)
今回のモニター募集は、できるかぎり多くの症例を掲載したいと思っているため、1歯欠損も募集しています。
何歯欠損でも大丈夫ですので、ご希望がございましたらご連絡下さい。
・ メール無料相談は こちらをクリック
歯科治療で分からないこと や ご心配ごと をメールして下
さい。
基本的に、当日に回答させていただきます。
・ インプラントオンライン見積もりは こちらをクリック
欠損部からインプラントの治療費や治療期間(治療回数)等をお答えします。
・インターネット・オンライン予約 はこちらをクリック
休診日でも24時間 オンラインで予約が行えます。
大船駅北口歯科インプラントセンターインプラント 歯周病 専門医
神奈川県横浜市にある 日本歯周病学会歯周病専門医 国際インプラント学会認定医の歯科医院
I.T.Iインプラント認定医でもあり、 GBR法 、 サイナスリフト、 HPでは 治療費(費用)の説明や 無料相談コーナーもあります。