神経のない歯が歯根破折を繰り返す
2018年 9月27日(木曜日)です。
このブログは「大船駅北口歯科 インプラント症例専門サイト」です。
本日の症例は、
神経のない歯がどんどんと歯根破折してダメになっていく
という話です。
早速症例を見ながら解説していきます。
以下が初診時です。
下顎右側の奥歯が欠損しています。

この下顎の右側の奥歯は、歯根破折を起こして他の歯科医院で抜歯となり、
抜歯後の治療をご希望され当医院を受診されました。

上顎右側の奥歯にも欠損がありました。
治療方針として
上顎右側の欠損部は、ブリッジで対応。
下顎右側の欠損部は、インプラントで対応することになりました。
ブリッジは、欠損部の両側の歯を削る治療です。
できれば歯は削らない方が良いです。
そのため、上顎右側の奥歯もインプラント治療の方がベストと言えます。
しかし、
ブリッジは保険が適応されますが、
インプラント治療は保険が適応されません。
そのため、治療費を抑えるということからすると
ブリッジという選択肢にならざる得ないこともあります。
以下が
上顎がブリッジ、
下顎がインプラント治療
で対応した治療後のレントゲンです。

さてこれでこの患者様は終了した訳ではなかったのです。
ここからが大変な治療の始まりとなってしまいました。
それは、神経のない歯が非常に多くあったため、
歯根破折を繰り返すことになったのです。
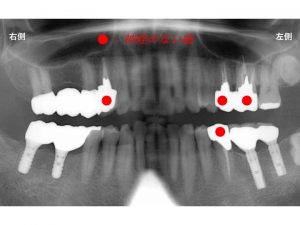
赤丸の歯が神経のない歯です。

まず上顎の左右のこの歯が歯根破折してしまいました。

神経のない歯は非常に脆く、折れることがよく起こります。
折れた場所にもよりますが、
歯根破折した場合には、抜歯となることが多いです。

抜歯後、どのように治療を行うのかを患者様と相談させていただきました。
インプラント治療、
ブリッジ、
義歯(入れ歯)
という3つの治療方法があります。
治療期間、
治療費、
将来性
等
様々なことを考慮して
最終的に患者様は、ブリッジを選択されました。

以下が治療後(ブリッジ後)です。

これでひと段落かと思っていた後です。
また問題が起こりました。
歯根破折です。

先ほども説明しましたように
神経のない歯は脆く、折れることがあります。
特に噛み合わせに問題が認められる場合には、歯根破折する確率が高くなります。
噛み合わせの問題とは、歯ぎしり や 食いしばりです。
こうした力に耐えきれなく、折れることがあるのです。
上顎の左側はブリッジをご希望されました。

以下が治療後です。

これで、口腔内に神経のない歯はなくなりましたので、
歯根破折となる可能性は非常に低くなりました。
今回のブリッジは、全て保険診療の範囲での治療です。
奥歯では金属製となってしまいますが、
保険が適応されるため、
治療費は最も抑えることができます。
今回のブリッジで重要なことは、神経を取らないということです。
歯を削ること自体、歯にとって問題が大きいです。
それに神経を取った場合には、
歯根破折のリスクが非常に高くなります。
できる限り神経は取らない方が良いです。
同じブリッジを行うにしても
神経がある状態でブリッジをする場合と
神経と取ってブリッジをする場合では
将来的なリスクは違ってきます。
今回の患者様のように
歯根破折を繰り返している場合には、
今後を考えて神経を取らないようにすることが非常に大切なのです。
下顎左側の欠損部は今後どのようにするか考えていかなければいけません。
クリックでの応援よろしくお願い致します
ワンランク上の歯科衛生士になる為のスキルアップセミナー”ペリオ編”
治療費
上記の症例をインプラントモニターで行った場合の治療費は以下になります。
インプラント 1本 160.000円(消費税別)
被せ物(白い歯) 1歯分 100.000円(消費税別)〜 になります。
治療費をさらに抑える方法として 被せ物を金属製にする方法があります。
金属製の被せ物は、 1歯分 90.000円(消費税別)になります。
インプラントの土台(アバットメント)は、1装置54.000円(消費税別)になります。
インプラントモニターの詳細は、以下をご覧下さい。
インプラントモニター詳細
インプラントモニターは期間限定で行なっている制度です。
モニター終了後は通常料金となりますので、
ご希望される方は、お早めに受けられて下さい。
治療費は現時点での費用であり、今後変更になる可能性があります。
当医院のインプラント治療費用の中には、
治療中のレントゲン撮影や薬代、
治療経過のレントゲン撮影、
セラミック等の被せ物の費用、
スプリッティング法(リッジエクスパンジョン法) 、
GBR法(骨増大法:インプラント埋入と同時の場合) 、
ソケットリフト法 の費用が含まれています。
インプラントモニター募集(インプラント手術費用20%割引
インプラントモニターの詳細については、下記をクリックして下さい。
インプラントモニター制度(手術費用から20%割引)
今回のモニター募集は、できるかぎり多くの症例を掲載したいと思っているため、1歯欠損も募集しています。
何歯欠損でも大丈夫ですので、ご希望がございましたらご連絡下さい。
・ メール無料相談は こちらをクリック
歯科治療で分からないこと や ご心配ごと をメールして下
さい。
基本的に、当日に回答させていただきます。
・ インプラントオンライン見積もりは こちらをクリック
欠損部からインプラントの治療費や治療期間(治療回数)等をお答えします。
・インターネット・オンライン予約 はこちらをクリック
休診日でも24時間 オンラインで予約が行えます。
大船駅北口歯科インプラントセンターインプラント 歯周病 専門医
神奈川県横浜市にある 日本歯周病学会歯周病専門医 国際インプラント学会認定医の歯科医院
I.T.Iインプラント認定医でもあり、 GBR法 、 サイナスリフト、 HPでは 治療費(費用)の説明や 無料相談コーナーもあります。