自家歯牙移植(親知らずの移植)
2018年11月 8日(木曜日)です。
このブログは「大船駅北口歯科 インプラント症例専門サイト」です。
本日はインプラントの治療ではなく、自家歯牙移植(親知らずの移植)について解説します。
一番奥歯が欠損した場合の治療法として
インプラント治療が一般的に行われますが、インプラント以外に治療法はないのでしょうか?
本日はそうした症例に対して親知らずの移植について解説します。
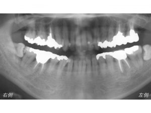
まず症例を見てみましょう。
下顎右側の奥歯が虫歯担っている状態です。

ここが虫歯です。

わかりにくいので拡大してみてみましょう。

虫歯で歯が溶けた部分を黒く表示してみます。

実際の虫歯はレントゲン上で黒く見える部分だけではありません。
実際の虫歯はもっと大きく黒く見える部分より一回り大きいことがほとんどです。
以下の赤色部分程度に大きい可能性が高いです。

かなり深い位置まで虫歯があるのです。
ここで問題となることが2つあります。
一つは、奥にある親知らずの存在です。
この親知らずがある限り虫歯の治療を適切に行うことは難しいです。
もう一つは歯肉の位置です。
歯肉の位置を表示します。

虫歯は歯肉の中まで深く進行しているのです。
まずこの虫歯を取るためは親知らずの抜歯が必要です。

親知らずを抜歯した後に虫歯を取るのですが、
歯肉の深い仲間で虫歯があることと、
かなり奥になるので実際に歯を削る(虫歯を削る)器具を到達させることは難しでしょう。

そのため、現実的には虫歯の治療を適切に行うことは困難と判断し、
以下の治療法を立てました。
1.まず虫歯の大きい歯を抜歯する
2.その奥にある親知らずを抜歯した部位に移植する


以下が移植後です。

そして以下が治療後です。

インプラントという治療以外にも親知らずの移植という治療法もあるのです。
クリックでの応援よろしくお願い致します
ワンランク上の歯科衛生士になる為のスキルアップセミナー”ペリオ編”
治療費
インプラントモニター治療費は以下になります。
インプラント 1本 160.000円(消費税別)
被せ物(白い歯) 1歯分 100.000円(消費税別)〜 になります。
治療費をさらに抑える方法として 被せ物を金属製にする方法があります。
金属製の被せ物は、 1歯分 90.000円(消費税別)になります。
インプラントの土台(アバットメント)は、1装置54.000円(消費税別)になります。
インプラントモニターの詳細は、以下をご覧下さい。
インプラントモニター詳細
インプラントモニターは期間限定で行なっている制度です。
モニター終了後は通常料金となりますので、
ご希望される方は、お早めに受けられて下さい。
治療費は現時点での費用であり、今後変更になる可能性があります。
当医院のインプラント治療費用の中には、
治療中のレントゲン撮影や薬代、
治療経過のレントゲン撮影、
セラミック等の被せ物の費用、
スプリッティング法(リッジエクスパンジョン法) 、
GBR法(骨増大法:インプラント埋入と同時の場合) 、
ソケットリフト法 の費用が含まれています。
インプラントモニター募集(インプラント手術費用20%割引
インプラントモニターの詳細については、下記をクリックして下さい。
インプラントモニター制度(手術費用から20%割引)
今回のモニター募集は、できるかぎり多くの症例を掲載したいと思っているため、1歯欠損も募集しています。
何歯欠損でも大丈夫ですので、ご希望がございましたらご連絡下さい。
・ メール無料相談は こちらをクリック
歯科治療で分からないこと や ご心配ごと をメールして下
さい。
基本的に、当日に回答させていただきます。
・ インプラントオンライン見積もりは こちらをクリック
欠損部からインプラントの治療費や治療期間(治療回数)等をお答えします。
・インターネット・オンライン予約 はこちらをクリック
休診日でも24時間 オンラインで予約が行えます。
大船駅北口歯科インプラントセンターインプラント 歯周病 専門医
神奈川県横浜市にある 日本歯周病学会歯周病専門医 国際インプラント学会認定医の歯科医院
I.T.Iインプラント認定医でもあり、 GBR法 、 サイナスリフト、 HPでは 治療費(費用)の説明や 無料相談コーナーもあります。