奥歯が3歯欠損していた場合のインプラント治療:何本のインプラントが必要か?
2019年 2月28日(木曜日)です。
このブログは「大船駅北口歯科 インプラント症例専門サイト」です。
本日は奥歯が3歯欠損していた場合のインプラント治療:何本のインプラントが必要か?という話です。
歯が欠損すると見た目の問題もありますし、噛めなくなってしまいます。
奥歯において歯が3歯欠損すると相当食事が困難になってしまいます。
本日は、タイトルにもありますように
奥歯が3歯欠損していた場合のインプラント治療について症例を見ながら解説します。
早速初診時のレントゲンからです。
下顎右側の奥歯がないので噛めないという方です。

下顎右側の奥歯が3歯欠損しています。

通常このような場合の治療方法には、
1. 義歯(入れ歯)
2. インプラント
という2つの選択肢があります。
患者様は、義歯は嫌ということでインプラント治療をご希望されました。
それでは歯が3歯欠損していた場合、
何本のインプラントが必要なのでしょうか?
通常、奥歯において3歯が欠損していただ場合、
骨の状態等に問題がない場合には、
2本のインプラントを埋入し、3歯分の被せ物を作成するインプラントブリッジとすることがほとんどです。

本症例の患者様にもそのように説明させていただきました。
しかし、歯が3歯欠していれば、
必ず2本のインプラントを埋入し、3歯分の被せ物を作成するインプラントブリッジとするかと言えば
そうではありません。
患者様は、治療費を少しでも削減したいというお気持ちと
今まで奥歯がずっとなかったので
完全に奥まで歯はなくても現在の状態より噛めるようになればいいということで
一番奥歯には、何もせずに
2本のインプラントで2歯分の被せ物を行う治療法をご希望されました。
以下のようにです。

つまり一番奥歯は治療を行わないということです。

どの治療プランが一番良いということではありません。
患者様のご希望等を踏まえて
最終的な判断がされます。
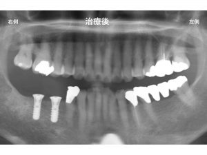
以下は、インプラント手術直後です。

そして治療終了後です。

患者様は、今まで右側の奥歯で噛めなかったのが
噛めるようになり、食事も十分できるようになったため、大変喜ばれていました。
インプラント治療計画には、様々な方法があるのです。
クリックでの応援よろしくお願い致します
ワンランク上の歯科衛生士になる為のスキルアップセミナー”ペリオ編”
治療費
上記の症例をインプラントモニターで行った場合の治療費は以下になります。
インプラント 1本 160.000円(消費税別)
被せ物(白い歯) 1歯分 100.000円(消費税別)〜 になります。
治療費をさらに抑える方法として 被せ物を金属製にする方法があります。
金属製の被せ物は、 1歯分 90.000円(消費税別)になります。
インプラントの土台(アバットメント)は、1装置54.000円(消費税別)になります。
インプラントモニターの詳細は、以下をご覧下さい。
インプラントモニター詳細
インプラントモニターは期間限定で行なっている制度です。
モニター終了後は通常料金となりますので、
ご希望される方は、お早めに受けられて下さい。
治療費は現時点での費用であり、今後変更になる可能性があります。
当医院のインプラント治療費用の中には、
治療中のレントゲン撮影や薬代、
治療経過のレントゲン撮影、
セラミック等の被せ物の費用、
スプリッティング法(リッジエクスパンジョン法) 、
GBR法(骨増大法:インプラント埋入と同時の場合) 、
ソケットリフト法 の費用が含まれています。
インプラントモニター募集(インプラント手術費用20%割引
インプラントモニターの詳細については、下記をクリックして下さい。
インプラントモニター制度(手術費用から20%割引)
今回のモニター募集は、できるかぎり多くの症例を掲載したいと思っているため、1歯欠損も募集しています。
何歯欠損でも大丈夫ですので、ご希望がございましたらご連絡下さい。
・ メール無料相談は こちらをクリック
歯科治療で分からないこと や ご心配ごと をメールして下
さい。
基本的に、当日に回答させていただきます。
・ インプラントオンライン見積もりは こちらをクリック
欠損部からインプラントの治療費や治療期間(治療回数)等をお答えします。
・インターネット・オンライン予約 はこちらをクリック
休診日でも24時間 オンラインで予約が行えます。
大船駅北口歯科インプラントセンターインプラント 歯周病 専門医
神奈川県横浜市にある 日本歯周病学会歯周病専門医 国際インプラント学会認定医の歯科医院
I.T.Iインプラント認定医でもあり、 GBR法 、 サイナスリフト、 HPでは 治療費(費用)の説明や 無料相談コーナーもあります。