上顎で骨吸収が大きい場合の治療法:ソケットリフト法
2019年 5月16日(木曜日)です。
このブログは「大船駅北口歯科 インプラント症例専門サイト」です。
当医院でもようやく今週から電子マネーでの決算(PayPay)を導入しました。
早速ご使用された患者様もいらっしゃいました。
私自身も日常でほとんど現金を使うことはなくなりました。
カード や 電子マネー がほとんどです。
時代の流れとしては当然のことですね。
さて 本日も症例を見ていきましょう。
上顎で骨吸収が大きい場合の治療法:ソケットリフト法です。
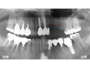
初診時のレントゲンが以下です。

上顎左側に歯が3歯欠損されている方です。
他の部位にはすでにインプラント治療が行われていた方です。
上顎左側の欠損部もインプラント治療をご希望されたため、
治療計画を立てました。
診査の結果、
骨吸収が比較的大きくありました。
元々の骨の状態が以下の青線です。
本来骨はここまであったのです。

そして現在は以下の赤線まで骨が吸収してしまったのです。

上顎の場合、
さらに考えないといけないのが上顎洞です。
上顎洞とは、
上の顎の上方にある空洞のことです。
この空洞があるために、上顎では使用するインプラントの長さに制限がでてくるのです。
上顎洞は、以下の図のようにある程度の高さがあります。

しかし、元々上顎洞までの距離が低かったり、
歯周病 や 歯根破折 等の問題があることで
歯を支えていた骨が吸収してしまうことがあります。
また抜歯してあとに期間が経過すると
顎の骨はだんだんと吸収をしてきます。
こうなるとインプラントを行うのが困難になります。

インプラント治療において重要なことの一つとして、
使用するインプラントの長さがあります。
短いインプラントと
長いインプラントでは、
やはり長いインプラントの方が成功率は高くなります。
特に上顎では長いインプラントの方がよりリスクは低くなります。
そのため、上顎では、
骨吸収が大きいく、長いインプラントが埋入できない場合には、
様々な治療法を行います。
その一つがソケットリフト法です。

上顎洞という空洞の中に人工の骨を入れて高さを増す治療法です。
具体的には、下から上顎洞を押し上げて人工骨を上顎洞の中に入れて
高さを増大させてからインプラントを埋め込むという方法です。
かなり一般的な治療法であり、
特別なことではありません。
私自身も20年近く前から行なっています。
先ほどの症例に戻りましょう。
骨の高さが低い状態でした。

このままだと短いインプラントしかできません。
以下はシュミレーションです。

そこでソケットリフト法を併用してインプラントを行います。
以下はシュミレーションです。

実際の治療後が以下です。

ある程度長いインプラントを埋入することができました。
治療後のレントゲンに上顎洞と骨吸収の状態の線を描いてみましょう。

この線を見ると上顎洞内にインプラントがな入り込んでいることがわかります。
次回も様々な症例をみていきましょう。
クリックでの応援よろしくお願い致します
ワンランク上の歯科衛生士になる為のスキルアップセミナー”ペリオ編”
治療費
上記の症例をインプラントモニターで行った場合の治療費は以下になります。
インプラント 1本 160.000円(消費税別)
被せ物(白い歯) 1歯分 100.000円(消費税別)〜 になります。
治療費をさらに抑える方法として 被せ物を金属製にする方法があります。
金属製の被せ物は、 1歯分 90.000円(消費税別)になります。
インプラントの土台(アバットメント)は、1装置54.000円(消費税別)になります。
インプラントモニターの詳細は、以下をご覧下さい。
インプラントモニター詳細
インプラントモニターは期間限定で行なっている制度です。
モニター終了後は通常料金となりますので、
ご希望される方は、お早めに受けられて下さい。
治療費は現時点での費用であり、今後変更になる可能性があります。
当医院のインプラント治療費用の中には、
治療中のレントゲン撮影や薬代、
治療経過のレントゲン撮影、
セラミック等の被せ物の費用、
スプリッティング法(リッジエクスパンジョン法) 、
GBR法(骨増大法:インプラント埋入と同時の場合) 、
ソケットリフト法 の費用が含まれています。
インプラントモニター募集(インプラント手術費用20%割引
インプラントモニターの詳細については、下記をクリックして下さい。
インプラントモニター制度(手術費用から20%割引)
今回のモニター募集は、できるかぎり多くの症例を掲載したいと思っているため、1歯欠損も募集しています。
何歯欠損でも大丈夫ですので、ご希望がございましたらご連絡下さい。
・ メール無料相談は こちらをクリック
歯科治療で分からないこと や ご心配ごと をメールして下
さい。
基本的に、当日に回答させていただきます。
・ インプラントオンライン見積もりは こちらをクリック
欠損部からインプラントの治療費や治療期間(治療回数)等をお答えします。
・インターネット・オンライン予約 はこちらをクリック
休診日でも24時間 オンラインで予約が行えます。
大船駅北口歯科インプラントセンターインプラント 歯周病 専門医
神奈川県横浜市にある 日本歯周病学会歯周病専門医 国際インプラント学会認定医の歯科医院
I.T.Iインプラント認定医でもあり、 GBR法 、 サイナスリフト、 HPでは 治療費(費用)の説明や 無料相談コーナーもあります。