上顎前歯部のインプラント治療
2019年12月12日(木曜日)です。
このブログは「大船駅北口歯科 インプラント症例専門サイト」です。
本日は上顎前歯部のインプラント治療についてです。
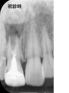
まず初診時のレントゲン所見です。

*印の歯から膿が出ていて
歯がグラグラするとのことで来院されました。
前にかかっていた歯科医院では、抜歯と診断されました。

この歯を治療して残すことは困難であったため、
患者様に現在の状況を説明させていただき、
抜歯に同意していただけました。

さて問題となるのが抜歯後です。
抜歯後の治療方法には3つ考えられます。
一つはブリッジです。
一般的なブリッジは、欠損(抜歯)した歯の両側の歯を削り、
被せ物を行う治療法です。
前歯が欠損した場合には、かなり一般的な治療法ではあります。
ここで考えたいことは、
抜歯と診断したこの歯がなぜダメになったのか?
ということです。
今回抜歯となった上顎の前歯部の問題は、
神経がないことです。
神経のない歯は、
根の先に膿がたまったり、
脆くなることで、折れたり、ヒビが入ることがあります。
そのため、神経のない歯の将来性は
何も削ってない神経のある歯と比較数rと
低いと言えます。
歯はできる限り削らない方が良いですし、
神経は取らない方が良いです。
もし、今回ブリッジを選択された場合でも
できる限り神経を取らないで治療することが非常に大切です。
基本的に今回のようなケースでブリッジを行う場合には、
神経を取ることはほとんどありません。
しかし、100%神経を取ることがないとは言い切れません。
神経のある歯を削った場合、
多量なりとも歯の中の神経にはダメージが加わります。
本当のケースでは、そのダメージは一時的なことですが、
稀に削って仮歯を作成した後で
痛みを生じることがあります。
確率は非常に低いです。
しかし、もし痛みを生じてしまった場合には
神経を取り除く治療が必要になる場合もあります。
もし、このように神経を取ることになってしまった場合には、
やはりリスクの高い状態になってしまいます。
歯を削らないにこしたことはないです。
ブリッジ以外の治療方法として、
義歯があります。
入れ歯です。
今回の症例の患者様は、
若い女性です。
若い女性の場合、
前歯が義歯(入れ歯)というのは、ちょっと選択しにくい治療法です。
実際に患者様も入れ歯は、ご希望されませんでした。
最終的な決断は、インプラント治療でした。
賢明な選択です。
将来的なことを考えれば、
やはり歯を削るブリッジは避けたいものです。
以下のレントゲンは、インプラント治療後です。

インプラントの被せ物は、オールセラミックで行なっています。
非常に審美性が高いです。
当医院では、世界最大シェアーで高い信頼性のストローマンインプラント を使用しております。
治療期間中も歯がないということはありません。
抜歯した当日から
固定式の仮歯を使用することができます。
「2020年学会発表モニター価格」
2020年に行う講演の症例データを募集しています。
治療対象は、2020年の夏頃までに治療が完了する部位に対して
「2020年学会発表モニター価格」として
手術費用の30%割引を行なっておりますので
ご希望がございましたらご相談下さい。
2020年学会発表モニターの締め切りは
治療が終了するまで期間がかかりますので
締め切りは、2020年 3月 1日までとなっております。
また初診の方のみ対象とさせていただきます。
ご希望の方は、担当歯科医師に直接
「2020年講演発表モニター希望」とお伝え下さい。
通常のモニターは22%割引となります。
「2020年学会発表モニター価格」は、全額前払いのみとなります。
予定インプラント治療が2020年夏までに終了しなかった場合には、
治療費用は、通常費用 もしくは 通常モニター費用(22%)費用に変更になります。
クリックでの応援よろしくお願い致します
ワンランク上の歯科衛生士になる為のスキルアップセミナー”ペリオ編”
治療費
上記の症例をインプラントモニターで行った場合の治療費は以下になります。
通常費用からインプラント手術料金が22%割引されます。
(2019年10月よりモニター割引率を20%から22%に改定しました)
インプラント 1本 160.000円(消費税別)
被せ物(白い歯) 1歯分 100.000円(消費税別)〜 になります。
治療費をさらに抑える方法として 被せ物を金属製にする方法があります。
金属製の被せ物は、 1歯分 90.000円(消費税別)になります。
インプラントの土台(アバットメント)は、1装置50.000円(消費税別)になります。
インプラントモニターの詳細は、以下をご覧下さい。
新インプラントモニター詳細
インプラントモニターは期間限定で行なっている制度です。
モニター終了後は通常料金となりますので、
ご希望される方は、お早めに受けられて下さい。
治療費は現時点での費用であり、今後変更になる可能性があります。
当医院のインプラント治療費用の中には、
治療中のレントゲン撮影や薬代、
治療経過のレントゲン撮影、
セラミック等の被せ物の費用、
スプリッティング法(リッジエクスパンジョン法) 、
GBR法(骨増大法:インプラント埋入と同時の場合) 、
ソケットリフト法 の費用が含まれています。
インプラントモニター募集(インプラント手術費用22%割引
インプラントモニターの詳細については、下記をクリックして下さい。
新インプラントモニター制度(手術費用から22%割引)
今回のモニター募集は、できるかぎり多くの症例を掲載したいと思っているため、1歯欠損も募集しています。
何歯欠損でも大丈夫ですので、ご希望がございましたらご連絡下さい。
・ メール無料相談は こちらをクリック
歯科治療で分からないこと や ご心配ごと をメールして下
さい。
基本的に、当日に回答させていただきます。
・ インプラントオンライン見積もりは こちらをクリック
欠損部からインプラントの治療費や治療期間(治療回数)等をお答えします。
・インターネット・オンライン予約 はこちらをクリック
休診日でも24時間 オンラインで予約が行えます。
大船駅北口歯科インプラントセンターインプラント 歯周病 専門医
神奈川県横浜市にある 日本歯周病学会歯周病専門医 国際インプラント学会認定医の歯科医院
I.T.Iインプラント認定医でもあり、 GBR法 、 サイナスリフト、 HPでは 治療費(費用)の説明や 無料相談コーナーもあります。