上顎前歯部のインプラント治療:歯根破折を放置すると骨吸収が起こり審美性に問題を生じる
2020年 2月13日(木曜日)です。
このブログは「大船駅北口歯科 インプラント症例専門サイト」です。
本日もインプラントの症例を見ていきましょう。
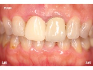
以下が初診時です。

上顎右側の前歯が取れたとのことでした。
以下の*印の歯です。

被せ物(差し歯)を取った状態が以下のレントゲンです。
歯根破折を起こしていました。

ここで問題なのは、歯根破折している場合、
早く抜歯することが大切です。
折れた部位から感染が起こり、
根(歯根)周囲の骨が吸収していきます。
この骨吸収は、インプラント治療に大きく影響していきます。
特に上顎前歯部の場合、骨吸収があると審美的に問題が起こります。
実際の骨の状態を線で書いて見ましょう。
青線は、本来の骨の位置です。
そして、赤線が骨吸収した現在の状態です。

この歯は保存が厳しい状態でしたので抜歯となりました。

骨吸収が大きいと
抜歯後は、歯肉は退縮します。

歯肉の位置を黄色線で書いてみましょう。

この後、
インプラント手術を行うとさらに骨は吸収していきます。
インプラント手術時には、骨を増大させる治療が必要です。
この骨の増大(再生)治療を
GBR法 と言います。
ただし、GBR法 は魔法の治療ではありません。
いくらでも骨ができる訳ではありません。
限界もあります。
また手術時に切開を行ったりすることで
歯肉の退縮も起こります。
そこで歯肉を増大させる治療法も必要になるのです。
歯肉結合組織移植 と言います。
以下が治療後です。

歯肉の退縮も問題ない状態まで回復されています。
しかし、できれば
GBR法 も
歯肉結合組織移植 も行わない方が治療は楽で簡単です。
そのため、悪い状態をできる限り放置させないことが重要です。
特に前歯部の場合、
骨吸収が治療後の審美性に大きく影響します。
当医院では、世界最大シェアーで高い信頼性のストローマンインプラント を使用しております。
クリックでの応援よろしくお願い致します
上記の症例をインプラントモニターで行った場合の治療費は以下になります。
通常費用からインプラント手術料金が22%割引されます。
(2019年10月よりモニター割引率を20%から22%に改定しました)
インプラント 1本 160.000円(消費税別)
被せ物(白い歯) 1歯分 100.000円(消費税別)〜 になります。
治療費をさらに抑える方法として 被せ物を金属製にする方法があります。
金属製の被せ物は、 1歯分 90.000円(消費税別)になります。
インプラントの土台(アバットメント)は、1装置50.000円(消費税別)になります。
インプラントモニターの詳細は、以下をご覧下さい。
新インプラントモニター詳細
インプラントモニターは期間限定で行なっている制度です。
モニター終了後は通常料金となりますので、
ご希望される方は、お早めに受けられて下さい。
治療費は現時点での費用であり、今後変更になる可能性があります。
当医院のインプラント治療費用の中には、
治療中のレントゲン撮影や薬代、
治療経過のレントゲン撮影、
セラミック等の被せ物の費用、
スプリッティング法(リッジエクスパンジョン法) 、
GBR法(骨増大法:インプラント埋入と同時の場合) 、
ソケットリフト法 の費用が含まれています。
インプラントモニター募集(インプラント手術費用22%割引
インプラントモニターの詳細については、下記をクリックして下さい。
新インプラントモニター制度(手術費用から22%割引)
今回のモニター募集は、できるかぎり多くの症例を掲載したいと思っているため、1歯欠損も募集しています。
何歯欠損でも大丈夫ですので、ご希望がございましたらご連絡下さい。
・ メール無料相談は こちらをクリック
歯科治療で分からないこと や ご心配ごと をメールして下
さい。
基本的に、当日に回答させていただきます。
・ インプラントオンライン見積もりは こちらをクリック
欠損部からインプラントの治療費や治療期間(治療回数)等をお答えします。
・インターネット・オンライン予約 はこちらをクリック
休診日でも24時間 オンラインで予約が行えます。
大船駅北口歯科インプラントセンターインプラント 歯周病 専門医
神奈川県横浜市にある 日本歯周病学会歯周病専門医 国際インプラント学会認定医の歯科医院
I.T.Iインプラント認定医でもあり、 GBR法 、 サイナスリフト、 HPでは 治療費(費用)の説明や 無料相談コーナーもあります。