今週のインプラント症例
2020年 7月30日(木曜日)です。
このブログは「大船駅北口歯科 インプラント症例専門サイト」です。
本日も ここ数日間に行なったインプラント治療の中から1ケースだけですが報告します。
ソケットリフト法でインプラントを行なった症例です。
以下は治療前です。

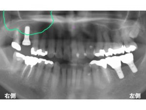
上顎右側の奥から2番目が欠損しています。

ここで問題となるのが、骨の状態と上顎洞です。
以下が骨の外形です。

以下が上顎洞です。

この上顎洞は空洞なのです。

そのため、骨の高さが低いのです。


この状態では、短いインプラントしか埋入できません。

できれば長いインプラントの方がいいです。

そのため、上顎洞内に人工の骨を入れて、
上顎洞を挙上させます。

これをソケットリフト法と言います。

以下が先日行った治療後です。

実際の上顎洞を書いてみましょう。

ここがソケットリフト法で、上顎洞を挙上した部分です。

このように長いインプラントを埋入する工夫があるのです。
来週もまたインプラントモニターケースをアップします。
クリックでの応援よろしくお願い致します
治療費
上記の症例をインプラントモニターで行った場合の治療費は以下になります。
インプラント 1本 160.000円(消費税別)
被せ物(白い歯) 1歯分 100.000円(消費税別)〜 になります。
治療費をさらに抑える方法として 被せ物を金属製にする方法があります。
金属製の被せ物は、 1歯分 90.000円(消費税別)になります。
インプラントの土台(アバットメント)は、1装置54.000円(消費税別)になります。
インプラントモニターの詳細は、以下をご覧下さい。
インプラントモニター詳細
インプラントモニターは期間限定で行なっている制度です。
モニター終了後は通常料金となりますので、
ご希望される方は、お早めに受けられて下さい。
治療費は現時点での費用であり、今後変更になる可能性があります。
当医院のインプラント治療費用の中には、
治療中のレントゲン撮影や薬代、
治療経過のレントゲン撮影、
セラミック等の被せ物の費用、
スプリッティング法(リッジエクスパンジョン法) 、
GBR法(骨増大法:インプラント埋入と同時の場合) 、
ソケットリフト法 の費用が含まれています。
インプラントモニター募集(インプラント手術費用20%割引
インプラントモニターの詳細については、下記をクリックして下さい。
インプラントモニター制度(手術費用から20%割引)
今回のモニター募集は、できるかぎり多くの症例を掲載したいと思っているため、1歯欠損も募集しています。
何歯欠損でも大丈夫ですので、ご希望がございましたらご連絡下さい。
・ メール無料相談は こちらをクリック
歯科治療で分からないこと や ご心配ごと をメールして下
さい。
基本的に、当日に回答させていただきます。
・ インプラントオンライン見積もりは こちらをクリック
欠損部からインプラントの治療費や治療期間(治療回数)等をお答えします。
・インターネット・オンライン予約 はこちらをクリック
休診日でも24時間 オンラインで予約が行えます。
大船駅北口歯科インプラントセンターインプラント 歯周病 専門医
神奈川県横浜市にある 日本歯周病学会歯周病専門医 国際インプラント学会認定医の歯科医院
I.T.Iインプラント認定医でもあり、 GBR法 、 サイナスリフト、 HPでは 治療費(費用)の説明や 無料相談コーナーもあります。
LINE相談





