ソケットリフト法を併用したインプラント治療
2020年 8月20日(木曜日)です。
このブログは「大船駅北口歯科 インプラント症例専門サイト」です。
ここ暫くブログがアップできずにいました。
本日もインプラントの症例を見ていきましょう。
ここ最近行ったインプラント手術の中で
上顎の奥歯に骨吸収が大きくあり、
インプラント治療が適切にできないため、
ソケットリフト法を行ったケースを紹介します。
まずソケットリフト法とは、
どのような治療であるのかと解説します。
上顎の奥歯には、上顎洞という空洞が存在します。
奥歯の根の上にある空洞です。

奥歯を抜歯すると骨だけになります。
以下の黄色い部分が骨です。
これくらい骨の高さがあれば問題はまったくありません。

しかし、上顎洞が下方に下がってしまっていたり、
骨吸収が起こることで
骨の高さがほとんどなくなってしまうことがあります。

こうなるとインプラントが適切にできません。

インプラントは、長い方が断然良いです。
短いインプラントは、噛む力に耐えきれないです。
特に上顎の奥歯では、
少しでも長いインプラントを行なうことが将来的に安定します。
そこで上顎洞という空洞に
人工の骨を入れて高さを増すのです。
この治療法をソケットリフト法と言います。

それでは、このソケットリフト法を行った症例をみていきましょう。
ソケットリフト法は、インプラント治療にとって欠かせない治療法であり、
私も本当によく行います。
ここ数日間でも
多くのソケットリフト法がありました。
最初のケースです。

上顎左側の奥歯が欠損しています。

上顎洞を緑線で記載します。
この緑線の上は、
空洞です。

赤線が骨の位置です。

この状態でインプラントを行なうと以下のようになります。

これだと短いインプラントです。
そこで上顎洞内部に骨の移植を行います。

そしてインプラントを埋入です。

実際、先日行った手術直後が以下です。

次のケースを見ていきましょう。
以下のケースは、治療途中を以前ブログでもアップしています。
今回は、その続きです。
以下は治療前です。

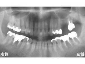
上顎の右側に2歯の欠損、
上顎左側の奥歯が4歯欠損しています。

問題となるのは、この欠損部だけではありません。
上顎の前歯です。
上顎前歯部もグラグラで抜けそうです。

グラグラですから抜歯が必要です。


治療方法として、抜歯前に義歯(入れ歯)の型を取り、
事前に義歯を作成しておき、
抜歯と同時に義歯を装着します。
これにより歯がない期間をなくします。
しかし、患者様は義歯はご希望されませんでした。
義歯の使用はどうしても嫌という方は多いです。
そこで治療期間中に義歯を使用しないで治療を進めるようにしました。
治療期間は少し長くなってしまいますが、
部分的にインプラントを行なっていきます。
まず上顎左側のみにインプラントを行いました。

骨の高さが非常に少ないので
ソケットリフト法を行いました。

そして、上顎左側は、仮歯を作成しました。
このことで、今まで噛めなかった左側で食事ができるようになりました。
患者様は、非常に喜んでいました。
次に
上顎右側も噛めるようにするために、
インプラント治療を行います。
まず1歯のみ抜歯します。

抜歯後です。
上顎左側は、仮歯です。

上顎右側は、本当に骨吸収が大きく、
インプラント治療が難しい状態でした。
以下の緑線が上顎洞です。

次に
現在の骨を赤線で記載します。

骨の高さが非常に少ないです。

このままであると
本当に短いインプラントしかできません。
以下のようでは、インプラントはきちんとできません。

そこで上顎洞内部に人工骨を入れます。

インプラントを埋入します。

以下が実際のインプラント手術後です。

つぎのステップです。
上顎右側のインプラントが骨としっかりとくっつくまで待ちます。
インプラントと骨が結合したことを確認し、
上顎前歯部を抜歯します。

抜歯と同時日に固定式の仮歯となりますので、
見た目も問題ありませんし、
噛むことも十分可能です。
どちらかと言えば、
今まで、前歯がグラグラしていましたが、
固定式の仮歯となることで相当しっかりと噛めます。
患者様も大変喜んでいました。
以下は、先日行った上顎前歯部のインプラント手術直後です。

もちろん手術直後も固定式の仮歯ですので、
食事も問題なくできますし、
審美性もまったく問題ありません。

このように治療期間中のことや
患者様の治療の進め方の希望をふまえて、
今回のような治療ステップをとることもあります。
本日はこれで終了です。
来週もインプラント症例をアップします。
お楽しみに!
クリックでの応援よろしくお願い致します
治療費
上記の症例をインプラントモニターで行った場合の治療費は以下になります。
インプラント 1本 160.000円(消費税別)
被せ物(白い歯) 1歯分 100.000円(消費税別)〜 になります。
治療費をさらに抑える方法として 被せ物を金属製にする方法があります。
金属製の被せ物は、 1歯分 90.000円(消費税別)になります。
インプラントの土台(アバットメント)は、1装置54.000円(消費税別)になります。
インプラントモニターの詳細は、以下をご覧下さい。
インプラントモニター詳細
インプラントモニターは期間限定で行なっている制度です。
モニター終了後は通常料金となりますので、
ご希望される方は、お早めに受けられて下さい。
治療費は現時点での費用であり、今後変更になる可能性があります。
当医院のインプラント治療費用の中には、
治療中のレントゲン撮影や薬代、
治療経過のレントゲン撮影、
セラミック等の被せ物の費用、
スプリッティング法(リッジエクスパンジョン法) 、
GBR法(骨増大法:インプラント埋入と同時の場合) 、
ソケットリフト法 の費用が含まれています。
インプラントモニター募集(インプラント手術費用20%割引
インプラントモニターの詳細については、下記をクリックして下さい。
インプラントモニター制度(手術費用から20%割引)
今回のモニター募集は、できるかぎり多くの症例を掲載したいと思っているため、1歯欠損も募集しています。
何歯欠損でも大丈夫ですので、ご希望がございましたらご連絡下さい。
・ メール無料相談は こちらをクリック
歯科治療で分からないこと や ご心配ごと をメールして下
さい。
基本的に、当日に回答させていただきます。
・ インプラントオンライン見積もりは こちらをクリック
欠損部からインプラントの治療費や治療期間(治療回数)等をお答えします。
・インターネット・オンライン予約 はこちらをクリック
休診日でも24時間 オンラインで予約が行えます。
大船駅北口歯科インプラントセンターインプラント 歯周病 専門医
神奈川県横浜市にある 日本歯周病学会歯周病専門医 国際インプラント学会認定医の歯科医院
I.T.Iインプラント認定医でもあり、 GBR法 、 サイナスリフト、 HPでは 治療費(費用)の説明や 無料相談コーナーもあります。
LINE相談





