どこまでインプラント治療を行うか?
2021年 4月15日(木曜日)です。
このブログは「大船駅北口歯科 インプラント症例専門サイト」です。
お知らせ:1
当医院のオフィシャルLINEですが、
誤ってアカウントを削除してしまいました。
そのため、今までLINEでご相談されていた方は、
患者様側からは送れるのですが、
当医院の方で見ることができなくなってしまいました。
ご迷惑をおかけいたします。
現在新しいLINEに変更しておりますので、
新たにご登録いただければと思います。
よろしくお願い致します。
お知らせ:2
現在までインターネットオンライン予約の方法は、
2つの予約サイトを使用しておりましたが、
一つに統一することにしました。
20年前よりご利用いただいていた
インターネットオンライン予約サイトですが、
今後ご利用できなくなります。
今後は、以下の予約サイト に統一いたしますので
よろしくお願い致します。
新インターネットオンライン予約サイト
それでは本日の症例を見ていきましょう!
本日のテーマは、
どこまでインプラント治療を行うか? です。
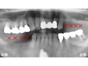
以下が初診時です。
上顎左側の奥歯と
下顎右側の奥歯
が欠損しており、噛めないとのことで来院されました。


患者様は義歯(入れ歯)を作った経験はあったのですが、
違和感が強く、
どうしても使用が難しいとのことで
インプラント治療をご希望されました。
上顎左側の奥歯が4歯欠損、
下顎右側の奥歯も4歯欠損しています。

本日は上顎左側の欠損部の話をします。
通常4歯が欠損しているわけですから
4歯分の治療が必要になります。

しかし、
問題となったのが、
下顎左側の一番奥歯でした。
この歯はあまり良い状態ではありません。

将来的にどれくらい保つのかは不明な状態です。
もしかすると
比較的短期間でダメ(抜歯)なってしまう可能性もあります。
もし、
上顎 左側の4歯欠損全てに
インプラント治療を行った後で
下顎左側 の奥歯が抜歯となった場合、
追加でインプラント治療が必要になります。
もちろん
そうしたことを想定して、
上顎のインプラント治療を4歯欠損全てに行うことは可能です。
しかし、
今回のケースでは、
下顎右側の奥歯も欠損があります。
そのため、
患者様は、左右ともにインプラント治療をご希望されていました。
しかし、
先ほど説明しましたように
上顎 左側の奥歯の4歯欠損全てに
インプラント治療を行った後で、
もし、下顎 左側の一番奥歯が
ダメ(抜歯)となった場合に
再度その部位にインプラント治療を行うことは、
治療費的に難しいとのことでした。
そのため、
将来的なトラブルも考慮して
上顎左側は奥の2歯欠損に対して、
インプラント治療は行わない計画としました。

また今回のケースでは
上顎左側の奥歯にインプラント治療が困難となる
他の理由もあったのです。
上顎左側の骨の状態をみていきましょう!
本来顎の骨は、
以下の青線 まで存在しています。

しかし、本ケースでは、骨吸収 が大きく起こっていました。
以下の赤線 が現在の骨吸収した位置です。

さらに問題となったのが、
上顎洞 の存在です。
上顎洞とは、
上顎の奥歯の上方にある空洞のことです。
この空洞(上顎洞)の位置や大きさ等には、
個人差が大きくありますが、
今回のケースの患者様の場合、
かなり低い位置(下方に下がっている)でした。

上顎洞という空洞を緑色 で表示します。
この緑の領域 は全て空洞です。

骨吸収の状態と上顎洞を合わせたのが以下です。

手前の欠損部でも
骨の高さは非常に少ないです。

奥歯に関しては、
インプラントを埋め込むための骨の高さが
ほとんどない状態です。

こうしたことから
上顎左側の奥歯は、
骨がまだ残っている手前側の2欠損のみ
インプラント治療を行うことにしました。

しかし、
問題なのは、長いインプラントが埋入できないことです。
以下のような状態では、あまりにも短いインプラントであり、
すぐにダメになりそうです。

そこで
少しでも長いインプラントを埋入するために
ソケットリフト法という治療法を併用して
インプラントを埋入する計画を立てました。

以下が手術直後です。

インプラント治療は、
ただ単に欠損部にインプラントを埋め込めば良いわけではありません。
将来性を踏まえての治療計画が大切になってきます。
来週もアップしますので、
ご覧になっていただければと思います。
当医院を受診されている患者様 や
ブログを見られた方のクチコミを募集 しています。
励みになりますので
ブログのコメントもよろしくお願い致します。
以下をクリックして下さい。
Googleでクチコミ募集中

クリックでの応援よろしくお願い致します
治療費
上記の症例をインプラントモニターで行った場合の治療費は以下になります。
インプラント 1本 171,600円(消費税込)
被せ物(白い歯) 1歯分 110,000円(消費税込)〜 になります。
治療費をさらに抑える方法として 被せ物を金属製にする方法があります。
金属製の被せ物は、 1歯分 99,000円(消費税込)になります。
インプラントの土台(アバットメント)は、1装置55,000円(消費税込)になります。
現在デンタルローンの24回まで分割手数料 0%キャンペーンを実施しております。
詳細は以下をご覧下さい。
デンタルローン(84回まで分割お支払い可能:24回までは分割手数料 0%)
インプラントモニターの詳細は、以下をご覧下さい。
インプラントモニター詳細
インプラントモニターは期間限定で行なっている制度です。
モニター終了後は通常料金となりますので、
ご希望される方は、お早めに受けられて下さい。
治療費は現時点での費用であり、今後変更になる可能性があります。
当医院のインプラント治療費用の中には、
治療中のレントゲン撮影や薬代、
治療経過のレントゲン撮影、
セラミック等の被せ物の費用、
スプリッティング法(リッジエクスパンジョン法) 、
GBR法(骨増大法:インプラント埋入と同時の場合) 、
ソケットリフト法 の費用が含まれています。
インプラントモニター募集(インプラント手術費用22%割引
インプラントモニターの詳細については、下記をクリックして下さい。
インプラントモニター制度(手術費用から22%割引)
今回のモニター募集は、できるかぎり多くの症例を掲載したいと思っているため、1歯欠損も募集しています。
何歯欠損でも大丈夫ですので、ご希望がございましたらご連絡下さい。
・ メール無料相談は こちらをクリック
歯科治療で分からないこと や ご心配ごと をメールして下
さい。
基本的に、当日に回答させていただきます。
・ インプラントオンライン見積もりは こちらをクリック
欠損部からインプラントの治療費や治療期間(治療回数)等をお答えします。
・インターネット・オンライン予約 はこちらをクリック
休診日でも24時間 オンラインで予約が行えます。
大船駅北口歯科インプラントセンターインプラント 歯周病 専門医
神奈川県横浜市にある 日本歯周病学会歯周病専門医 国際インプラント学会認定医の歯科医院
I.T.Iインプラント認定医でもあり、 GBR法 、 サイナスリフト、 HPでは 治療費(費用)の説明や 無料相談コーナーもあります。