最もインプラント治療に適している症例
2021年 4月29日(木曜日)です。
このブログは「大船駅北口歯科 インプラント症例専門サイト」です。
お知らせ:1
当医院のオフィシャルLINEですが、
誤ってアカウントを削除してしまいました。
そのため、今までLINEでご相談されていた方は、
患者様側からは送れるのですが、
当医院の方で見ることができなくなってしまいました。
ご迷惑をおかけいたします。
現在新しいLINEに変更しておりますので、
新たにご登録いただければと思います。
よろしくお願い致します。
お知らせ:2
現在までインターネットオンライン予約の方法は、
2つの予約サイトを使用しておりましたが、
一つに統一することにしました。
20年前よりご利用いただいていた
インターネットオンライン予約サイトですが、
今後ご利用できなくなります。
今後は、以下の予約サイト に統一いたしますので
よろしくお願い致します。
新インターネットオンライン予約サイト
お知らせ:3
ゴールデンウィーク期間中は以下の日程で休診させていただきます。
5月4日(火曜日)
5月5日(水曜日)
*月曜日、木曜日、祝日は通常どおり休診日となります。
休診中の緊急連絡は、以下 よりメールでご連絡下さい。
休診中の緊急連絡先
また休診中のご予約は、以下より24時間オンライン予約 ができます。
ご利用下さい。
24時間オンライン予約
本日のインプラント症例は、
最もインプラント治療に適している症例
になります。
歯が欠損している場合の治療方法として、
一般的には、以下の3つの治療法が考えられます。
1.義歯(入れ歯)
2.ブリッジ
3.インプラント
です。
3つの治療ともに
それぞれ利点、欠点があります。
こうしたことは、
このブログでもよく解説してきた内容です。
本日ご紹介する症例は、
その3つの治療方法の中でも
もっともインプラント治療が適したケースです。
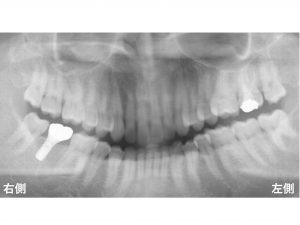
以下が初診時です。
下顎右側奥から2番目が欠損している患者様です。

このようなケースの場合、
できればブリッジは避けたいです。
その理由として、
欠損の前後の歯は、
なにも削ってないない健康な歯です。
ブリッジを行うためには、
どうしても歯を削る必要性があります。
義歯(入れ歯)は、
歯を削らないという点では、ブリッジより優れています。
しかし、どうしても義歯に対する違和感や
取り外し式であることが大きな欠点となります。
義歯に対する抵抗がないのであれば、
特別問題はありませんが、
やはり、「義歯は嫌!」という方は多いです。
本症例の患者様も
「歯を削ることは避けたい」
ということと
「義歯は嫌」
ということで
インプラント治療を選択されました。
以下が治療後です。

来週の木曜日もインプラント症例をアップします。
当医院を受診されている患者様 や
ブログを見られた方のクチコミを募集 しています。
励みになりますので
ブログのコメントもよろしくお願い致します。
以下をクリックして下さい。
Googleでクチコミ募集中

クリックでの応援よろしくお願い致します
治療費
上記の症例をインプラントモニターで行った場合の治療費は以下になります。
インプラント 1本 171,600円(消費税込)
被せ物(白い歯) 1歯分 110,000円(消費税込)〜 になります。
治療費をさらに抑える方法として 被せ物を金属製にする方法があります。
金属製の被せ物は、 1歯分 99,000円(消費税込)になります。
インプラントの土台(アバットメント)は、1装置55,000円(消費税込)になります。
現在デンタルローンの24回まで分割手数料 0%キャンペーンを実施しております。
詳細は以下をご覧下さい。
デンタルローン(84回まで分割お支払い可能:24回までは分割手数料 0%)
インプラントモニターの詳細は、以下をご覧下さい。
インプラントモニター詳細
インプラントモニターは期間限定で行なっている制度です。
モニター終了後は通常料金となりますので、
ご希望される方は、お早めに受けられて下さい。
治療費は現時点での費用であり、今後変更になる可能性があります。
当医院のインプラント治療費用の中には、
治療中のレントゲン撮影や薬代、
治療経過のレントゲン撮影、
セラミック等の被せ物の費用、
スプリッティング法(リッジエクスパンジョン法) 、
GBR法(骨増大法:インプラント埋入と同時の場合) 、
ソケットリフト法 の費用が含まれています。
インプラントモニター募集(インプラント手術費用22%割引
インプラントモニターの詳細については、下記をクリックして下さい。
インプラントモニター制度(手術費用から22%割引)
今回のモニター募集は、できるかぎり多くの症例を掲載したいと思っているため、1歯欠損も募集しています。
何歯欠損でも大丈夫ですので、ご希望がございましたらご連絡下さい。
・ メール無料相談は こちらをクリック
歯科治療で分からないこと や ご心配ごと をメールして下
さい。
基本的に、当日に回答させていただきます。
・ インプラントオンライン見積もりは こちらをクリック
欠損部からインプラントの治療費や治療期間(治療回数)等をお答えします。
24時間インターネットオンライン予約
大船駅北口歯科インプラントセンターインプラント 歯周病 専門医
神奈川県横浜市にある 日本歯周病学会歯周病専門医 国際インプラント学会認定医の歯科医院
I.T.Iインプラント認定医でもあり、 GBR法 、 サイナスリフト、 HPでは 治療費(費用)の説明や 無料相談コーナーもあります。