ソケットリフト法を併用したインプラント治療
2021年 5月13日(木曜日)です。
このブログは「大船駅北口歯科 インプラント症例専門サイト」です。
本日の症例です。
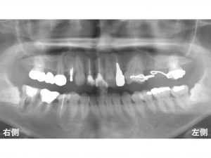
以下は治療開始前です。

上顎左側の奥歯が2歯欠損しており、
現在は義歯(入れ歯)を使用している患者様です。

また下顎右側一番奥歯にも問題があります。
歯の根が折れている状態です。

この下顎右側一番奥歯は、抜歯となってしまいます。

こうなると
上顎左側の奥歯は、義歯であり、
患者様は、入れ歯ではしっかりと噛めないとのことで
インプラント治療をご希望されています。
また
下顎右側が抜歯となってしまうと
さらに奥歯では噛むことが困難になってしまいます。
早急の治療開始が必要です。
そこで上顎左側の奥歯にインプラント治療を行うことにしました。

上顎左側の2歯欠損部は、
インプラント治療を行うにあたり、
問題があります。
それは、
骨の吸収 と
上顎洞 の存在です。
現在の骨の位置が以下の赤線 です。

次に上顎洞 は以下です。
上顎洞 とは、
上顎の奥歯の上方に位置する空洞のことです。

この空洞があるため、
上顎の奥歯では、インプラントを埋め込むための骨の高さに制限が生じることがあります。

現在の骨の高さは、以下です。

上顎の2歯欠損のうち
手前側は、ある程度の高さのインプラントを埋入することは可能ですが、
その奥の骨の高さは非常に少ないことが分かります。

このままの状態でインプラント治療を行った場合には、
以下のように短いインプラントとなってしまいます。

インプラントが長く維持されるためには
できるかぎり長いインプラントを埋入した方が良いです。

そのためには、
上顎洞 の中に
人工の骨を挿入して、
長いインプラントを埋入する方法が必要です。
これをソケットリフト法 と言います。

以下がインプラントを埋入した直後です。

もともとの上顎洞 の位置が以下です。
ソケットリフト法 により上顎洞 の上方までインプラントが埋め込まれています。

さらに問題が起こりました。
下顎右側の歯も折れてしまいました。
歯根破折 です。

抜歯となりました。

抜歯すると
下顎右側の奥歯は、2歯分が欠損してしまいます。
通常2本のインプラントが必要になりますが、
どこまでインプラント治療を行うのかは、
患者様のご希望にもよります。
患者様は、
歯根破折して、抜歯となる前までは、
一番奥歯まで歯がなくても
噛むことにさほど問題を感じていないとのことでしたので、
インプラントは1本のみとしました。
以下は、
抜歯後にインプラントを埋入した直後です。

そして、
骨とインプラントがしっかりと結合(くっつく)まで待ちます。
型取りを行い、インプラントの被せ物を装着しました。

インプラント治療は
骨の状態によって治療方法は大きく変わりますので、
様々な治療法を駆使してインプラントを行います。
また欠損部に全てインプラントを行うのではなく、
患者様のご希望等を踏まえて
インプラントの本数等を決定することになります。
来週もインプラント症例をアップします。
当医院を受診されている患者様 や
ブログを見られた方のクチコミを募集 しています。
励みになりますので
ブログのコメントもよろしくお願い致します。
以下をクリックして下さい。
Googleでクチコミ募集中

クリックでの応援よろしくお願い致します
治療費
上記の症例をインプラントモニターで行った場合の治療費は以下になります。
インプラント 1本 171,600円(消費税込)
被せ物(白い歯) 1歯分 110,000円(消費税込)〜 になります。
治療費をさらに抑える方法として 被せ物を金属製にする方法があります。
金属製の被せ物は、 1歯分 99,000円(消費税込)になります。
インプラントの土台(アバットメント)は、1装置55,000円(消費税込)になります。
現在デンタルローンの24回まで分割手数料 0%キャンペーンを実施しております。
詳細は以下をご覧下さい。
デンタルローン(84回まで分割お支払い可能:24回までは分割手数料 0%)
インプラントモニターの詳細は、以下をご覧下さい。
インプラントモニター詳細
インプラントモニターは期間限定で行なっている制度です。
モニター終了後は通常料金となりますので、
ご希望される方は、お早めに受けられて下さい。
治療費は現時点での費用であり、今後変更になる可能性があります。
当医院のインプラント治療費用の中には、
治療中のレントゲン撮影や薬代、
治療経過のレントゲン撮影、
セラミック等の被せ物の費用、
スプリッティング法(リッジエクスパンジョン法) 、
GBR法(骨増大法:インプラント埋入と同時の場合) 、
ソケットリフト法 の費用が含まれています。
インプラントモニター募集(インプラント手術費用22%割引
インプラントモニターの詳細については、下記をクリックして下さい。
インプラントモニター制度(手術費用から22%割引)
今回のモニター募集は、できるかぎり多くの症例を掲載したいと思っているため、1歯欠損も募集しています。
何歯欠損でも大丈夫ですので、ご希望がございましたらご連絡下さい。
・ メール無料相談は こちらをクリック
歯科治療で分からないこと や ご心配ごと をメールして下
さい。
基本的に、当日に回答させていただきます。
・ インプラントオンライン見積もりは こちらをクリック
欠損部からインプラントの治療費や治療期間(治療回数)等をお答えします。
24時間インターネットオンライン予約
大船駅北口歯科インプラントセンターインプラント 歯周病 専門医
神奈川県横浜市にある 日本歯周病学会歯周病専門医 国際インプラント学会認定医の歯科医院
I.T.Iインプラント認定医でもあり、 GBR法 、 サイナスリフト、 HPでは 治療費(費用)の説明や 無料相談コーナーもあります。