インプラント治療に最も適したケース

2021年 5月27日(木曜日)です。
このブログは「大船駅北口歯科  インプラント症例専門サイト」です。
本日はインプラント治療として
最も優れているケースです。
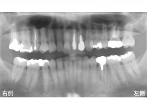
早速初診時のレントゲンから見てみましょう!

下顎左側の奥から3番目の歯の歯肉が腫れるとのことでした。

診査の結果、
この歯は歯根破折 していました。

この部分のみ拡大して見てみましょう。
*印の歯が今回問題となっている歯です。

歯根破折 しています。

抜歯が必要な状態です。

抜歯後の治療方法には以下の3つの治療法が考えられます。
1番目
義歯(入れ歯) です。
入れ歯 は取り外し式です。
義歯に対する違和感が強く、使用できない方も多くいらっしゃいます。
義歯の使用が難しい場合には、
次のブリッジもしくは、インプラント治療となります。
入れ歯の利点 としては、
治療が一番簡単です。
抜歯した後に型を取るだけです。
義歯の大きさによっても違いますが、
通常、型とりから約1〜2週間で義歯は完成します。
治療費も最も抑えられます。
今回の1歯欠損の義歯の場合の治療費は、健康保険3割負担の方の場合で4〜5千円です。

次にブリッジ です。
ブリッジは、義歯と比較すると圧倒的に違和感は少ないです。
接着剤で歯に固定するため、
取り外し式ではありません。
しかし、最大も欠点として、
歯を削ることが必要になります。
これは非常に大きな欠点です。
歯はできるかぎり削らない方がいいです。
そのため、歯を削るブリッジはできるかぎり避けたい治療ではあります。

3番目の治療方法として、
インプラント治療 があります。
インプラント治療 は、義歯のように取り外し式ではありません。
固定式です。
そのため、義歯と比較すると圧倒的に違和感が少ないです。
またブリッジのように歯を削ることもありません。
利点はいっぱいあります。
しかし、欠点もあります。
インプラントは顎の骨の中にチタン製のネジを埋め込む治療が必要です。
手術自体は、骨の状態さえ悪くなければ
さほど大変な治療ではありません。
早ければ
インプラントを1本埋め込む手術にかかる時間は、
約5〜10分です。
欠点として、
保険がきかないことが大きいです。
今回のようなケースですと治療費は336,600円(消費税込)かかります。
また治療期間も長くかかります。
インプラントを埋め込む手術後に
約2〜3ヶ月お待ちいただきます。
インプラントが骨としっかりとくっついた後で
型を取ります。
型とりから約2週間で
セラミックが完成して、
装着して終了です。

義歯(入れ歯 )が良いのか
ブリッジ が良いのか
インプラント が良いのか
はそれぞれの利点、欠点を考慮してお決めになっていただきます。
本ケースの患者様は、
インプラント治療 をご希望されました。
以下がインプラントを埋め込みが終わった直後のレントゲンです。

抜歯した穴の方が大きいので、
埋め込んだインプラントの周囲にはまだ空洞があるのです。

空洞を線で記載すると以下のようになります。

以下は、セラミックを装着して、
インプラント治療が終わった後です。

インプラント部分を拡大すると
インプラント周囲にあった骨の穴は塞がっています。

以下は、
インプラント埋入直後と
インプラント治療終了時の比較です。

今回のようなケースの場合、
やはり欠損部の両側の歯を削るブリッジはできるかぎり避けたいものです。
来週もインプラント症例をアップします。
当医院を受診されている患者様 や
ブログを見られた方のクチコミを募集 しています。
励みになりますので
ブログのコメントもよろしくお願い致します。
以下をクリックして下さい。
Googleでクチコミ募集中  

クリックでの応援よろしくお願い致します
治療費
上記の症例をインプラントモニターで行った場合の治療費は以下になります。
インプラント   1本  171,600円(消費税込) 
被せ物(白い歯) 1歯分 110,000円(消費税込)〜 になります。
治療費をさらに抑える方法として 被せ物を金属製にする方法があります。
金属製の被せ物は、 1歯分 99,000円(消費税込)になります。
インプラントの土台(アバットメント)は、1装置55,000円(消費税込)になります。
現在デンタルローンの24回まで分割手数料 0%キャンペーンを実施しております。
詳細は以下をご覧下さい。
デンタルローン(84回まで分割お支払い可能:24回までは分割手数料 0%)
インプラントモニターの詳細は、以下をご覧下さい。
インプラントモニター詳細
インプラントモニターは期間限定で行なっている制度です。
モニター終了後は通常料金となりますので、
ご希望される方は、お早めに受けられて下さい。
治療費は現時点での費用であり、今後変更になる可能性があります。
当医院のインプラント治療費用の中には、
治療中のレントゲン撮影や薬代、
治療経過のレントゲン撮影、
セラミック等の被せ物の費用、
スプリッティング法(リッジエクスパンジョン法)
GBR法(骨増大法:インプラント埋入と同時の場合)
ソケットリフト法 の費用が含まれています。
 インプラントモニター募集(インプラント手術費用22%割引
インプラントモニターの詳細については、下記をクリックして下さい。
インプラントモニター制度(手術費用から22%割引)
今回のモニター募集は、できるかぎり多くの症例を掲載したいと思っているため、1歯欠損も募集しています。
何歯欠損でも大丈夫ですので、ご希望がございましたらご連絡下さい。
  ・ メール無料相談は こちらをクリック
 歯科治療で分からないこと や ご心配ごと をメールして下
 さい。
 基本的に、当日に回答させていただきます。
  ・ インプラントオンライン見積もりは こちらをクリック
欠損部からインプラントの治療費や治療期間(治療回数)等をお答えします。
 
24時間インターネットオンライン予約  
大船駅北口歯科インプラントセンターインプラント 歯周病 専門医
神奈川県横浜市にある 日本歯周病学会歯周病専門医 国際インプラント学会認定医の歯科医院
I.T.Iインプラント認定医でもあり、 GBR法 サイナスリフト HPでは 治療費(費用)の説明や 無料相談コーナーもあります。