ソケットリフト法によるインプラント治療
2021年 6月24日(木曜日)です。
このブログは「大船駅北口歯科 インプラント症例専門サイト」です。
本日の症例は、
ソケットリフト法によるインプラント治療です。
早速見ていきましょう!
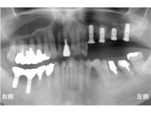
以下は初診時です。
下顎右側の奥歯と上顎左側の奥歯が欠損しています。

下顎の右側は2歯が欠損しています。

上顎の左側の奥歯もグラグラしています。

この歯は抜歯が必要な状態です。

まずはきちんと噛む場所を確保するために
下顎の右側の欠損部にインプラント治療を行うことになりました。

以下が下顎右側のインプラント手術後です。

次に
患者様は、
上顎左側の欠損部にインプラント治療をご希望されました。
ここでインプラント治療を行うのに
骨の問題が大きくありました。
まず
もともとの骨の位置を青線 で表記します。

現在の骨の位置は、
以下の赤線 です。

以下の赤色の領域 が骨が吸収した範囲です。
かなりの骨吸収があります。

他にも問題があったのが、
上顎洞 です。

上顎洞 とは、
上顎の奥歯の上方にある空洞のことです。
この空洞があるため、上顎の奥歯では、
インプラントを埋め込むための高さに制限があるのです。
以下の緑色の領域 は、空洞です。

骨吸収があるため、
どうしてもインプラントを埋め込むには問題が大きいのです。

骨の高さには制限がでてしまいます。

このままでインプラントを埋め込むと
以下のようにかなり短いインプラントしか埋入できません。

そのため、
上顎洞 内部に
人工骨を移植して、インプラントを埋め込むための高さを増大する治療が必要になります。
この治療法をソケットリフト法 と言います。

ソケットリフト法 を行うことで
長いインプラントが埋入可能になります。

以下がインプラント手術が終わった直後です。

そして、
以下が治療が完了した後です。

このように様々な治療法を併用しながらインプラント治療は行われるのです。
来週の木曜日もインプラント症例をアップします。
当医院を受診されている患者様 や
ブログを見られた方のクチコミを募集 しています。
励みになりますので
ブログのコメントもよろしくお願い致します。
以下をクリックして下さい。
Googleでクチコミ募集中

クリックでの応援よろしくお願い致します
治療費
上記の症例をインプラントモニターで行った場合の治療費は以下になります。
インプラント 1本 171,600円(消費税込)
被せ物(白い歯) 1歯分 110,000円(消費税込)〜 になります。
治療費をさらに抑える方法として 被せ物を金属製にする方法があります。
金属製の被せ物は、 1歯分 99,000円(消費税込)になります。
インプラントの土台(アバットメント)は、1装置55,000円(消費税込)になります。
現在デンタルローンの24回まで分割手数料 0%キャンペーンを実施しております。
詳細は以下をご覧下さい。
デンタルローン(84回まで分割お支払い可能:24回までは分割手数料 0%)
インプラントモニターの詳細は、以下をご覧下さい。
インプラントモニター詳細
インプラントモニターは期間限定で行なっている制度です。
モニター終了後は通常料金となりますので、
ご希望される方は、お早めに受けられて下さい。
治療費は現時点での費用であり、今後変更になる可能性があります。
当医院のインプラント治療費用の中には、
治療中のレントゲン撮影や薬代、
治療経過のレントゲン撮影、
セラミック等の被せ物の費用、
スプリッティング法(リッジエクスパンジョン法) 、
GBR法(骨増大法:インプラント埋入と同時の場合) 、
ソケットリフト法 の費用が含まれています。
インプラントモニター募集(インプラント手術費用22%割引
インプラントモニターの詳細については、下記をクリックして下さい。
インプラントモニター制度(手術費用から22%割引)
今回のモニター募集は、できるかぎり多くの症例を掲載したいと思っているため、1歯欠損も募集しています。
何歯欠損でも大丈夫ですので、ご希望がございましたらご連絡下さい。
・ メール無料相談は こちらをクリック
歯科治療で分からないこと や ご心配ごと をメールして下
さい。
基本的に、当日に回答させていただきます。
・ インプラントオンライン見積もりは こちらをクリック
欠損部からインプラントの治療費や治療期間(治療回数)等をお答えします。
24時間インターネットオンライン予約
大船駅北口歯科インプラントセンターインプラント 歯周病 専門医
神奈川県横浜市にある 日本歯周病学会歯周病専門医 国際インプラント学会認定医の歯科医院
I.T.Iインプラント認定医でもあり、 GBR法 、 サイナスリフト、 HPでは 治療費(費用)の説明や 無料相談コーナーもあります。