義歯がどうしても嫌な患者様に対して、インプラント治療期間中固定式仮歯にしたケース
2021年10月28日(木曜日)です。
このブログは「大船駅北口歯科 インプラント症例専門サイト」です。
本日の症例は、
義歯がどうしても嫌な患者様に対して、
インプラント治療期間中、
義歯を避けて固定式仮歯にしたケースです。
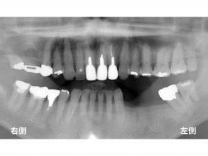
以下が初診時です。
主訴は、
下顎左側の奥歯が欠損しているのでインプラント治療をご希望されて来院されました。

左下奥歯が3歯欠損しています。

2本のインプラントでブリッジを計画しました。
以下がインプラント手術が終わった直後です。

以下が左下奥歯にブリッジの被せ物が装着された後です。

本日のテーマは、
この部分ではありません。
実は、
上顎前歯部なのです。
患者様のご来院が暫く途絶え、
ご来院された時には、
以下のように上顎前歯部が欠損していました。

患者様は、
他の歯科医院で前歯を抜歯されたそうです。

抜歯後に義歯(入れ歯)を作成したそうですが、
義歯に非常に強い違和感があり、
使えないとのことで
再度当院を受診されました。

患者様は、
以前下顎左側のインプラントを当院で行い、
非常に快適に噛めるとのことで
再度上顎前歯部にもインプラント治療をご希望されました。
しかし、
診査の結果、
欠損部の左側の歯に問題がありました。

歯自体は、動揺しており、
亀裂も認められました。
基本的にこの歯は抜歯が必要な状態でした。

もちろん
抜歯せずに
欠損部の2歯部分のみにインプラント治療を行うことは可能です。
しかし、
無理して残すことの問題点もあります。
欠損部左側の歯を残してインプラント治療を行った場合

以下のようにインプラントを行うことになります。

しかし、
インプラントの左隣の歯は、
状態が悪いため、
今後はダメ(抜歯)になります。


この場合には、
追加でインプラント治療が必要になります。

患者様にはこうしたことも説明させていただきました。
患者様は、
何度も同じことは繰り返したくないとの希望と
そのたびに治療費がかかるのは避けたい
とのご希望がありました。
そのため、
抜歯することをご希望されました。

ここで問題があります。
この歯を抜歯してしまうと
義歯がさらに大きくなり、
インプラント治療期間中も義歯(入れ歯)を使用しなければいけないことになります。
患者様は、義歯に違和感があり、
ご使用されるのが辛いとのことでしたので、
なんとかすぐにでも義歯を避ける方法を提案させていただきました。

具体的には、
抜歯せずにこの歯に仮歯を作成します。

以下のような感じです。

そして、
この仮歯を欠損部まで延長させます。

そして、
右側の天然歯と仮歯を接着剤で固定します。

この時点で患者様は、
入れ歯から解放され、
大変喜んでいられました。
この仮歯を使用したまま
インプラント治療を行います。
以下がインプラントを埋入した直後です。

もちろん治療期間中も仮歯は必ずあります。

その後、
インプラントと骨がくっつくまで暫く待ちます。
約3〜4ヶ月です。
しかし、
この期間中も固定式の仮歯ですから
食事や会話にも支障はありません。
インプラントが骨と結合したら
抜歯 となります。

この時点でも仮歯は必ずあります。
今度は、インプラントで仮歯を作成します。


インプラントのブリッジ(変則型)です。
以下は、治療が終了した後です。

歯がない期間をなくして行ったインプラント症例でした。
来週もインプラントの症例を解説してきます。
当医院を受診されている患者様 や
ブログを見られた方のクチコミを募集 しています。
励みになりますので
ブログのコメントもよろしくお願い致します。
以下をクリックして下さい。
Googleでクチコミ募集中

クリックでの応援よろしくお願い致します。
治療費
上記の症例をインプラントモニターで行った場合の治療費は以下になります。
インプラント 1本 171,600円(消費税込)
被せ物(白い歯) 1歯分 110,000円(消費税込)〜 になります。
治療費をさらに抑える方法として 被せ物を金属製にする方法があります。
金属製の被せ物は、 1歯分 99,000円(消費税込)になります。
インプラントの土台(アバットメント)は、
1装置55,000円(消費税込)になります。
現在デンタルローンの24回まで
分割手数料 0%キャンペーンを実施しております。
詳細は以下をご覧下さい。
デンタルローン(84回まで分割お支払い可能:24回までは分割手数料 0%)
インプラントモニターの詳細は、以下をご覧下さい。
インプラントモニター詳細
*インプラントモニターは期間限定で行なっている制度です。
モニター終了後は通常料金となりますので、
ご希望される方は、お早めに受けられて下さい。
治療費は現時点での費用であり、今後変更になる可能性があります。
当医院のインプラント治療費用の中には、
治療中のレントゲン撮影や薬代、
治療経過のレントゲン撮影、
セラミック等の被せ物の費用、
スプリッティング法(リッジエクスパンジョン法) 、
GBR法(骨増大法:インプラント埋入と同時の場合) 、
ソケットリフト法 の費用が含まれています。
インプラントモニター募集(インプラント手術費用22%割引
インプラントモニターの詳細については、下記をクリックして下さい。
インプラントモニター制度(手術費用から22%割引)
今回のモニター募集は、
できるかぎり多くの症例を掲載したいと思っているため、1歯欠損も募集しています。
何歯欠損でも大丈夫ですので、ご希望がございましたらご連絡下さい。
・ メール無料相談は こちらをクリック
歯科治療で分からないこと や ご心配ごと をメールして下
さい。
基本的に、当日に回答させていただきます。
・ インプラントオンライン見積もりは こちらをクリック
欠損部からインプラントの治療費や治療期間(治療回数)等をお答えします。
24時間インターネットオンライン予約
大船駅北口歯科インプラントセンターインプラント 歯周病 専門医
神奈川県横浜市にある 日本歯周病学会歯周病専門医 国際インプラント学会認定医の歯科医院
I.T.Iインプラント認定医でもあり、
GBR法 、 サイナスリフト、
HPでは 治療費(費用)の説明や
無料相談コーナーもあります。