多数の欠損がある場合、どのような治療方法が考えられるのか?
大船駅北口歯科 インプラント症例専門サイト」です。
2021年最後のインプラントブログです。
本日の症例は、
多数の欠損がある患者様でどのような治療方法があるのか?
ということをご心配されて来院された方です。
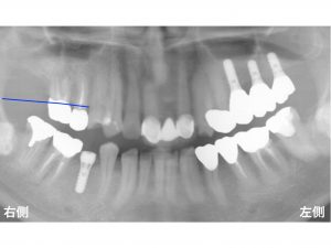
以下が初診時です。

多くの歯が欠損しています。
上顎左側が3歯欠損、
上顎右側が1歯欠損、
下顎右側が1歯欠損
しています。

さらに
上顎右側奥歯の残っている歯もグラグラです。

このグラグラしている歯は、
抜歯 が必要な状態です。

患者様は、噛めないのでどうにか治療したいとのご希望がありました。
どこまで治療が必要なのでしょうか?
またどのような治療法があるのでしょうか?

そのためには、
まず現在どこに一番問題があるのかが重要になってきます。

患者様は、
上顎左側の奥歯の3歯欠損部が一番問題を抱えている部位でした。
歯が欠損しているわけですから噛めません。
患者様はこの部位にインプラント治療をご希望されました。

ここでインプラント治療するにあたり、
問題がありました。
骨の吸収です。

骨吸収について解説します。
もともと骨は以下の青線 まであります。

それが
歯周病を放置したり、
歯が悪い状態が長く続くことで
骨が吸収してしまいます。
現在の骨吸収が起こった状態を赤線 で表示します。
かなりの骨吸収があるのです。

さらに問題となったのが上顎洞 です。
上顎洞 とは?
上顎の奥歯の上方にある空洞 のことです。
以下の緑線 が上顎洞底です。

全ての線を合わせると以下になります。

赤の領域 が骨吸収が起こった部位です。

骨吸収が大きいため、
インプラントを埋め込むための骨の高さが少なくなっています。
3歯欠損のうち
一番手前はまだ骨の高さは少し残っています。

しかし、
その奥は、骨の高さが少なくなっています。

さらに一番奥は、
骨の高さがほとんどありません。

骨の高さが少ないと
短いインプラントしか埋め込むことができなくなります。
短いインプラントの将来性は低いので、
できるかぎり長いインプラントを埋め込んだ方が良いです。

そこで、
ソケットリフト法と言われる治療を併用して
インプラントを埋め込みました。
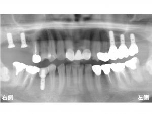
以下が手術直後です。

上顎洞内部には、
人工の骨が入っています。

次に患者様がお困りであったのが、
下顎右側の欠損部です。

この欠損部位の治療の選択肢としては、
3つの治療法が考えられます。
一つ目は、義歯(入れ歯)です。
患者様は、義歯はご希望されませんでした。

二つ目は、ブリッジです。
患者様は、今まで多くの歯を削ってきた経験から
できるかぎり歯を削りたくないとのご希望がありました。

次の治療プランは、インプラントです。

患者様は、インプラント治療をご希望されました。

以下は、
インプラントを埋め込んだ直後です。

この時点で、
上顎左側のインプラント部分は、しっかりと噛めるようになっています。

次に上顎右側の問題です。

先でも説明しましたように
上顎の奥歯はグラグラです。
きちんと噛めません。

患者様は抜歯に同意していただけました。

次に抜歯後の治療方法です。

選択肢は以下の二つです。


患者様は、インプラント治療をご希望されました。
ここで先ほどの上顎左側と同様に
骨の状態を見ていきましょう!
まずもともとの骨の位置を青線 で記入します。

現在の骨の位置は以下の赤線 です。
かなりの骨が吸収しています。

そして、
上顎洞 の存在です。

かなりの骨の吸収が認められます。


この部位も左側と同様に
ソケットリフト法を併用してインプラントを埋入しました。
以下が手術直後です。

以下は治療後です。

患者様は、
これでしっかりと噛めるようになりました。
来年も毎週木曜日にインプラント症例をアップします。
いつも多くの患者様がインプラント治療を受けていらっしゃいます。
お知らせ
2021年のインターネット予約は終了しております。
ただし、2021年内の予約は若干ですが空いておりますので
治療をご希望の方は、電話(045-891-3334)でご予約お願い致します。
休診案内
2021年12月30日(木曜日)から
2022年 1月 6日(木曜日)まで
休診となります。
緊急の連絡先は以下からお願い致します。
診療相談 / 休診中の緊急連絡メール

またLINEでもご相談を受け付けております。
LINE診療相談 / 休診中の緊急連絡

また休診中の予約は、以下から24時間受け付けております。
オンライン予約

当医院を受診されている患者様 や
ブログを見られた方のクチコミを募集 しています。
励みになりますので
ブログのコメントもよろしくお願い致します。
以下をクリックして下さい。
Googleでクチコミ募集中

クリックでの応援よろしくお願い致します。
治療費
上記の症例をインプラントモニターで行った場合の治療費は以下になります。
インプラント 1本 171,600円(消費税込)
被せ物(白い歯) 1歯分 110,000円(消費税込)〜 になります。
治療費をさらに抑える方法として 被せ物を金属製にする方法があります。
金属製の被せ物は、 1歯分 99,000円(消費税込)になります。
インプラントの土台(アバットメント)は、
1装置55,000円(消費税込)になります。
現在デンタルローンの24回まで
分割手数料 0%キャンペーンを実施しております。
詳細は以下をご覧下さい。
デンタルローン(84回まで分割お支払い可能:24回までは分割手数料 0%)
インプラントモニターの詳細は、以下をご覧下さい。
インプラントモニター詳細
*インプラントモニターは期間限定で行なっている制度です。
モニター終了後は通常料金となりますので、
ご希望される方は、お早めに受けられて下さい。
治療費は現時点での費用であり、今後変更になる可能性があります。
当医院のインプラント治療費用の中には、
治療中のレントゲン撮影や薬代、
治療経過のレントゲン撮影、
セラミック等の被せ物の費用、
スプリッティング法(リッジエクスパンジョン法) 、
GBR法(骨増大法:インプラント埋入と同時の場合) 、
ソケットリフト法 の費用が含まれています。
インプラントモニター募集(インプラント手術費用22%割引
インプラントモニターの詳細については、下記をクリックして下さい。
インプラントモニター制度(手術費用から22%割引)
今回のモニター募集は、
できるかぎり多くの症例を掲載したいと思っているため、1歯欠損も募集しています。
何歯欠損でも大丈夫ですので、ご希望がございましたらご連絡下さい。
・ メール無料相談は こちらをクリック
歯科治療で分からないこと や ご心配ごと をメールして下
さい。
基本的に、当日に回答させていただきます。
・ インプラントオンライン見積もりは こちらをクリック
欠損部からインプラントの治療費や治療期間(治療回数)等をお答えします。
24時間インターネットオンライン予約
大船駅北口歯科インプラントセンターインプラント 歯周病 専門医
神奈川県横浜市にある 日本歯周病学会歯周病専門医 国際インプラント学会認定医の歯科医院
I.T.Iインプラント認定医でもあり、
GBR法 、 サイナスリフト、
HPでは 治療費(費用)の説明や
無料相談コーナーもあります。