インプラント症例:75回目
10/11(月曜日)です。
このインプラント症例ブログは毎週 月曜日と木曜日にアップしていますが、暫くの間は 月曜日だけになります。
『75回目のインプラント症例』になります。
学会等の仕事があったため、2週間ぶりのブログです。
本日のブログは、「できるかぎり 患者様の負担を少なくするための治療法」です。
インプラントは、骨の中にチタンのネジで埋める治療法です。
そのため、骨がしっかりしていることが重要です。
骨の高さ や 幅 がしっかりしていれば、インプラント治療はさほど難しいことはありません。
例えてお話すると
木 に ネジ を打ち付ける とします。
木の太さ(幅)が10センチあったとします。
10センチの幅(太さ)の木に
幅(太さ)3センチのネジを打ち付けることは簡単なことです。
ネジの幅より 木の幅の方が大きいからです。
当然ですよね。
しかし、木の太さが1センチであった場合は どうでしょうか?
1センチの幅(太さ)の木に 3センチの太さのネジを打ち付けることは可能でしょうか?
無理ですよね。
木の幅より ネジの太さの方が大きいのですから…
当然です。
インプラントの場合も同じです。
一般的なインプラントの太さ(直径)は 約4ミリあります。
太さ4ミリのインプラントを埋め込むために 必要な骨の幅は約6ミリです。
インプラントの直径より 骨幅の方が太くないといけません。
しかし、現実問題として6ミリ以上も骨の幅が存在しているケースの方が少ないのです。
骨幅が1ミリとか 2ミリしか 存在しないケースもあります。
このような場合、骨の幅を増大(再生)させる治療法を行うことが必要になります。
骨を増大(再生)させる治療法には以下の方法があります。
1. GBR法(骨増大法)
2. スプリッティング法(リッジエクスパンジョン法)
3. OAM(大口式)インプラントシステム
また、補助的な方法としてPRP法 という治療法も併用します。
また、骨の幅だけではありません。
骨の高さも非常に重要です。
骨の中に埋め込んだインプラントが安定するためには、
可能なかぎり長いインプラントを埋め込むことが重要です。
短いインプラントでは安定が悪いため、ダメになりやすいのです。
例えば、木 に ネジ を打ち付けるとします。
長さ10センチのネジを打ち付けるのと
長さ2センチのネジを打ち付けるのでは、
当然のことながら長い10センチのネジの方が安定することはお分かりのことと思います。
もっと言えば、20センチの長さのネジの方がより安定が良いですし、
長さ1センチしかないネジであれば、すぐ取れてしまうかもしれません。
インプラントも短いインプラントであれば、噛む力に耐えきれないのです。
可能なかぎり長いインプラントを埋め込んだ方がより安定が良いのは当然のことなのです。
しかし、現実問題として、骨吸収がある方の方が多く
適切な長さのインプラントが埋め込めないのも事実です。
特に上顎の奥歯においては、骨の高さが 1ミリ とか 2ミリ しかないこともあります。
こうした場合には、以下の方法を行います。
1. ソケットリフト法
2. サイナスリフト法(上顎洞底挙上術)
です。
しかし、骨の幅を増大させたり、骨の高さを増大させる治療法は決して簡単な治療法ではありません。
骨吸収が大きければ 大きい程 治療が大変になります。
骨吸収が起きていなければ、インプラント治療は簡単に行えるのです。
しかし、私の経験上、骨吸収が起こっている方の割合は 半数以上です。
多くの方に骨吸収が起こっているといってもいいでしょう。
もちろん骨吸収の程度には差はありませすが、まったく骨吸収が起こっていない方が少ないのです。
可能であれば、骨を増大させるような治療法は避けたいものです。
前置きが長くなりましたが、今回ご紹介する症例は、GBR法(骨増大法) を避けるために工夫したケースです。
以下が初診時です。
下顎の左側の歯が抜けてしまって噛めないとのことで来院されました。

下顎左側の奥歯が2歯分欠損していました。

また、他にも問題がありました。
下顎左側の奥歯の残っている歯も折れていました。
歯根破折 です。

このブログでよく解説しますが、
神経のない歯は もろく 通常の咬む力でも割れてしまうことがあります。
こうした状態を患者さんに説明する時に ” 木 ” に例えてお話しすることがあります。
生き生きとした木はたたいたり、蹴ったりしても折れたりすることはありませんが、
枯れた木は折れる可能性があります。
神経を取った歯も 枯れた木と同じような状態になります。
神経のない歯は血液供給がなくなるためもろくなってしまうのです。
歯根破折 した場合には基本的に抜歯になります。

抜歯すると下顎左側の奥歯は、3歯欠損になってしまいます。
このような場合の治療方法として、
1.インプラント
2.義歯(入れ歯)
が考えられます。
患者様は、インプラント治療をご希望されました。
しかし ここで問題がありました。
骨吸収があったのです。
いつものように 骨吸収の状態を分かりやすくするために
骨吸収の状態を線で書いたのが以下のレントゲンになります。

さらに分かりやすくするために 骨吸収部位を赤色の領域で表します。

特に一番奥では、骨吸収が非常に大きいのが分かるかと思います。
また、さらに問題がありました。
下顎神経の存在です。
下の顎の中には、太い神経の管があります。
この下顎神経位置には、個人差があり、
顎の下の方にある方もいらっしゃいますが、
かなり上方に位置している場合もあります。
今回の患者様は、上方に位置していました。

このレントゲンからみても 一番奥にインプラントを埋入するには、難しいことが考えられます。
通常、インプラント治療を前提として抜歯した場合には、抜歯直後に抜歯した穴ができるかぎり 早く骨で埋まるような治療法を行います。
単に抜歯しただけでは、穴は埋まりにくいのです。
抜歯した穴に骨が再生しやすい行う治療法をソケットプリザベーション法 と言います。
このソケットプリザベーション法 を行うかどうかが今後のインプラント治療に大きく影響するのです。
今回の症例では、下顎の一番奥の歯は、他歯科医院で抜歯されました。
おそらくソケットプリザベーション法 は行っていないと考えられます。

後で比較しますが、手前の歯根破折 した歯を抜歯した時には、当医院でソケットプリザベーション法 を行っています。
後で見ると分かると思いますが、この部位の骨の再生の方が圧倒的に良いのです。
下顎左側の歯根破折 した歯を抜歯した直後が以下のレントゲンになります。

もちろんソケットプリザベーション法 を行いました。

以下が抜歯後3ヶ月です。
他歯科医院で抜歯した一番奥の歯と
当医院で後から抜歯した手前の部分では、骨の再生が大きく違うのが分かるかと思います。
奥の方はまだ抜歯した凹みがありますが、
手前の方は骨が平坦に治っているのが分かると思います。

このレントゲンでは分からないのですが、
一番奥の部位は、骨の幅が非常に狭いのです。
これは、抜歯前の状態も悪かったのかもしれませんが、
ソケットプリザベーション法 を行っていなかったのも骨の回復が悪いことの一つになります。
それでは、こうした場合、どこにインプラントを埋入するのでしょうか?
歯が3歯欠損している場合、以下のように欠損の両側に1本づつの合計2本の埋入する方法が一般的です。

しかし、この症例では、骨吸収があるため、
骨の高さ と 骨の幅 が少ないため、適切なインプラント埋入で難しかったのです。

今回のテーマは、始めにお話しましたように「できるかぎり 患者様の負担を少なくするための治療法」です。
患者様は、毎日お仕事をされている方です。
腫れが大きく起こるような治療法はできるかぎり避けたいものです。
そのため、少しでも治療による負担を少なくするために、
骨吸収の大きい部位を避ける治療法を選択しました。
それが、カンチレバー という治療方法です。
以下のような方法です。

骨幅が比較的ある部位にインプラントを埋め込むことにより
より楽な治療法になるのです。
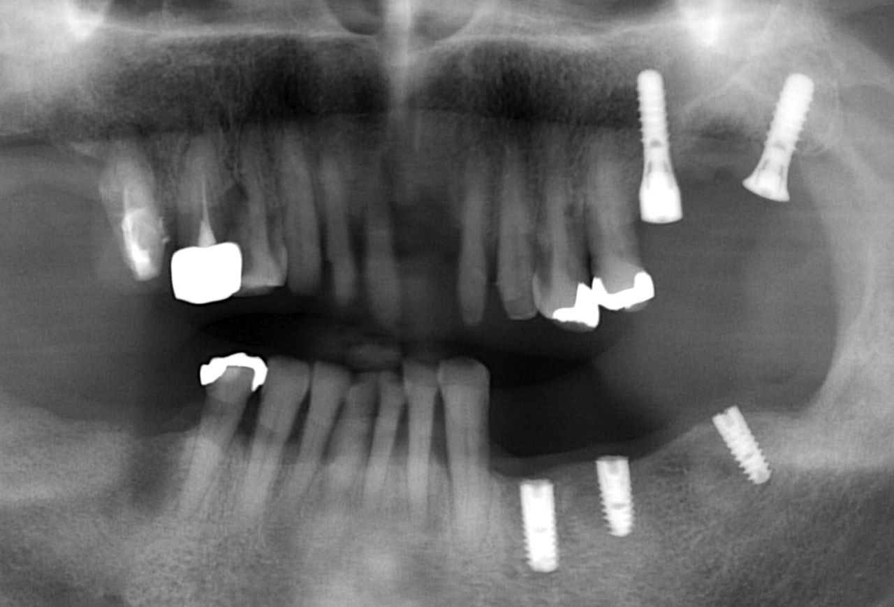
以下がインプラント治療が終了した後のレントゲンです。

最後に 今回のインプラント治療とは関係ありませんが、
この患者様は、神経がない歯が非常に多いのが問題です。
最初にも書きましたが、神経のない歯は もろく 通常の咬む力でも割れてしまうことがあります。
歯根破折 です。
今後も注意してみていかないといけません。

本日のテーマは、「できるかぎり 患者様の負担を少なくするための治療法」でした。
次回のブログは10/18(月曜日)になります。
次回もまだまだ続く『インプラント症例』です。
さまざまケースを紹介しますので、きっと あなたと同じような症例があるはずです。
先週のインプラント手術報告
今週(昨日)のインプラント手術の中から、
難しいケース であったり、
特殊なケース 等を抜粋して、紹介するコーナーです。
このところ忙しく、手術報告ができていませんでした。
本日は、下顎にインプラント埋入を行った1症例について解説します。
上顎は、少し前にインプラント手術を行った方です。
今回は、2回目の手術で下顎に3本のアンキロス インプラント を埋入しました。
治療が完了したらまた、詳細はブログで紹介したいと思いますが、
上顎は、骨吸収部位を避けるために 上顎結節という部位にインプラントを斜めに埋入するインプラントの傾斜埋入 という治療方法を行ったケースです。

治療費
インプラントモニターの場合、1本168.000円(消費税込)になります。
になります。
当医院のインプラント治療費用の中には、
治療中のレントゲン撮影や薬代、
土台(アバットメント) の費用、
仮歯 の費用、
治療経過のレントゲン撮影、
セラミック等の被せ物の費用、
スプリッティング法(リッジエクスパンジョン法) 、
OAM(大口式)インプラントシステム 、
GBR法(骨増大法:インプラント埋入と同時の場合) 、
ソケットリフト法 の費用、
静脈内鎮静法(眠っている間に終了します) の費用も含まれています。
治療計画以上の追加費用はありません。
全て含まれた費用です。
インプラントモニター募集(20%割引
現在、新規にインプラント症例集のページを作成しています。
さまざまなケースを見ていただくことにより、よりインプラント治療についてご理解していただきたいと思います。
そのため、症例を公開しても大丈夫という方(インプラントモニター)を募集しています。
インプラントモニターの詳細については、下記をクリックして下さい。
インプラントモニター(20%割引)
今回のモニター募集は、できるかぎり多くの症例を掲載したいと思っているため、1歯欠損も募集しています。
何歯欠損でも大丈夫ですので、ご希望がございましたらご連絡下さい。
最近インプラント治療を行う際に静脈内鎮静法(眠っている間に終了します) をご希望される方が非常に多くなってきています。
そこで、静脈内鎮静法 による麻酔をもっと多くの方にご利用していただくために 今まで3万円かかっていた費用を無料にしました。
これは、静脈内鎮静法 でインプラント治療を行いたいが、麻酔費用がかかるのがネックと考えられ断念されるケースがでてきたためです。
そのため、暫くの間 試験的に無料とさせていただくことにしました。
ご希望の方は、ご利用下さい。
圧倒的に楽にインプラント治療が行えます。
インプラント無料相談
現在インプラント無料相談を受け付けています。
詳細は以下をご覧になって下さい。
インプラント無料相談
2010年のオリコン(音楽のオリコンチャートが有名ですが…)の
顧客満足度の高いインプラント歯科医院(神奈川県版) で当医院が総合2位になりました。
・オリコン 2010年度版 顧客満足度の高い インプラント歯科医院ランキング神奈川県版
・ メール無料相談は こちらをクリック
歯科治療で分からないこと や ご心配ごと をメールして下
さい。
基本的に、当日に回答させていただきます。
・ インプラントオンライン見積もりは こちらをクリック
欠損部からインプラントの治療費や治療期間(治療回数)等をお答えします。
・インターネット・オンライン予約 はこちらをクリック
休診日でも24時間 オンラインで予約が行えます。
大船駅北口歯科インプラントセンターインプラント 歯周病 専門医
神奈川県横浜市にある 日本歯周病学会歯周病専門医 国際インプラント学会認定医の歯科医院
I.T.Iインプラント認定医でもあり、 GBR法 、 サイナスリフト、 審美インプラント等の難症例も行います。
HPでは 治療費(費用)の説明や インプラント症例、 無料相談コーナーもあります。