インプラント症例:78回目
11/ 1(月曜日)です。
このインプラント症例ブログは毎週 月曜日と木曜日にアップしていますが、暫くの間は 月曜日だけになります。(ちょっと忙しいので…すみません)
『78回目のインプラント症例』になります。
今年も後2ヶ月で終わってしまいます。
1年が過ぎるのは 早いものです。
本日ご紹介する症例は。神経がない歯がダメになったケースです。
このブログで紹介する症例でも最も多いケースです。
本当に神経がない歯はトラブルが多いです。
本日の症例のテーマは、
「将来性を考えた上で現在できること」
になります。
歯がダメ(抜歯)となった場合、単に欠損部のみをどうするかを考えるのではなく、
残っている歯が将来的にどうなるのか?
を考えることが重要です。
抜歯は患者様にとって最も嫌なことです。
できるだけ、ご自身の歯で噛みたいという希望は当然のことです。
そのため、残念にも抜歯となってしまった場合、
患者様の将来性を考え、今後どのような処置を行った方が良いのか?
ということを考えて行くことが重要なのです。
本日の症例は、まさにそのようなケースでした。
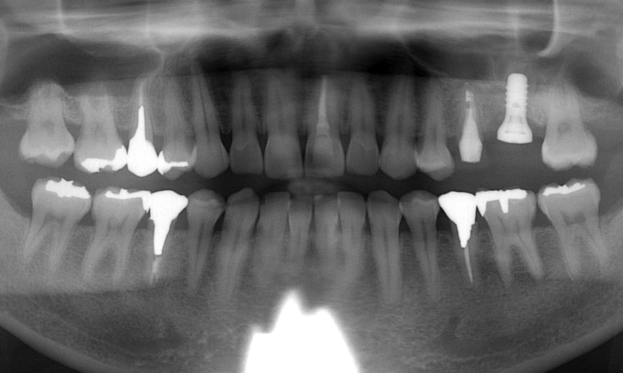
上顎左側の奥歯に問題がありました。
歯肉が腫れ、グラグラとしてきたため、当医院を受診されました。

それでは、なぜこの歯は抜歯と診断されたのでしょうか?
この歯がダメ(抜歯)になった理由は以下のようなことです。
まず、第一に 神経がないことです。
次に ブリッジ形態になっていることです。

このブログでもよく書きますが、
神経のない歯は、非常によくありません。
神経のない歯の話しは 何度も書いていますが とても重要なことですので 説明します。
神経のない歯はもろく通常の咬む力でも割れてしまうことがあります。
こうした状態を患者さんに説明する時に”木”に例えてお話しすることがあります。
生き生きとした木はたたいたり、蹴ったりしても折れたりすることはありませんが、
枯れた木は折れる可能性があります。
神経を取った歯も枯れた木と同じような状態になります。
神経のない歯は血液供給がなくなるためもろくなってしまうのです。
この続きは、以下をご覧になって下さい。
歯根破折
神経がないこと
これが、今回抜歯となった大きな理由の一つです。
次に上顎左側の奥歯がブリッジになっていることです。

ブリッジは、歯がない部分を補うために残っている歯で噛む力を負担する治療法です。

そのため、今回の場合 残っている歯に負担が加わってしまったのです。

上記の2つが大きな原因ですが、他にも歯根破折した原因があります。

それが 骨吸収です。
いつものように 骨吸収の状態を分かりやすくするために
骨吸収の状態を線で書いたのが以下のレントゲンになります。
青線が骨吸収を起こす前の骨の位置です。
赤線は、現在の骨の位置です。

さらに分かりやすくするために 骨吸収部位を赤色の領域で表します。

上顎左側の
奥歯では、骨吸収が大きいのがわかるかと思います。
今回 抜歯となった理由をまとめます。
1.神経がない歯は脆いので、折れてしまった!
2.ブリッジの土台となっていたため、加重負担で無理がかかった!
3.骨吸収が大きかったため、噛む力に耐えきれなかった!

問題なのは、抜歯後です。
抜歯したままでいるとさまざまな問題が起こります。

上顎左側で噛めない分、噛む力が残っている歯に加わりやすいのです。

特に上顎前歯部は、
神経がない!
ブリッジとなっている!
ということから今後のことを考えれば、歯根破折となり ダメ(抜歯)となる可能性があります。

つまり、上顎左側の奥歯が欠損しているままであると
将来的には上顎前歯部もダメになりやすいということです。

将来性を考えれば、上顎左側はきちんと噛めるようにすることが必要です。
そこでインプラント治療を検討します。

先程と同じように抜歯後の骨吸収の状態を線で書いてみましょう。
骨吸収の状態を線で書いたのが以下のレントゲンになります。
青線が骨吸収を起こす前の骨の位置です。
赤線は、現在の骨の位置です。

さらに分かりやすくするために 骨吸収部位を赤色の領域で表します。

さらに問題があったのが、上顎洞の存在です。
上顎洞の問題が起こっていました。
以下の緑線は上顎洞という空洞です。
緑線の内側は空洞なのです。
骨ではありません。
ただの 穴 です。

これも さらに分かりやすくするために、上顎洞 を緑色で表示します。

骨吸収と上顎洞の存在のためにインプラントを埋入するための骨の高さが非常に少なかったのです。
欠損部の手前の部分は、比較的骨の高さが存在していました。

しかし、奥の部位には、骨吸収が大きいため インプラントを埋め込むための骨の高さが存在していない状態でした。

インプラントを埋入するためには、骨の高さを増大させる治療が必要になります。

GBR法(骨増大法) や
ソケットリフト法 等を併用してインプラントを埋入する治療計画を立てました。

このことにより左側で噛めるようになったことはもちろんのこと
残っている歯の将来性も高くなりました。

本日の症例のテーマは、
「将来性を考えた上で現在できること」
でした。
次回のブログは11/ 8(月曜日)になります。
次回もまだまだ続く『インプラント症例』です。
さまざまケースを紹介しますので、きっと あなたと同じような症例があるはずです。
先週のインプラント手術報告
先週のインプラント手術の中から、
難しいケース であったり、
特殊なケース 等を抜粋して、紹介するコーナーです。
先週もさまざまな症例がありました。
その中から2症例をご紹介します。
下顎の左側の奥歯に2本のインプラント埋入です。
本日のケースと同様に 神経がない歯が多いため、非常に有効な治療です。

次の症例は、上顎左側です。
このケースも同様に神経のない歯が欠損部周囲にあるため、
ブリッジを選択すると将来性が低い治療となります。
骨の高さが少ないため、ソケットリフト法 を併用してインプラントを埋入しました。

治療費
インプラントモニターの場合、1本168.000円(消費税込)になります。
被せ物は、
白い歯で 1歯84.000円(消費税込)〜、
金属製で 1歯58.800円(消費税込)
になります。
当医院のインプラント治療費用の中には、
治療中のレントゲン撮影や薬代、
土台(アバットメント) の費用、
仮歯 の費用、
治療経過のレントゲン撮影、
セラミック等の被せ物の費用、
スプリッティング法(リッジエクスパンジョン法) 、
OAM(大口式)インプラントシステム 、
GBR法(骨増大法:インプラント埋入と同時の場合) 、
ソケットリフト法 の費用、
静脈内鎮静法(眠っている間に終了します) の費用も含まれています。
治療計画以上の追加費用はありません。
全て含まれた費用です。
インプラントモニター募集(20%割引
現在、新規にインプラント症例集のページを作成しています。
さまざまなケースを見ていただくことにより、よりインプラント治療についてご理解していただきたいと思います。
そのため、症例を公開しても大丈夫という方(インプラントモニター)を募集しています。
インプラントモニターの詳細については、下記をクリックして下さい。
インプラントモニター(20%割引)
今回のモニター募集は、できるかぎり多くの症例を掲載したいと思っているため、1歯欠損も募集しています。
何歯欠損でも大丈夫ですので、ご希望がございましたらご連絡下さい。
最近インプラント治療を行う際に静脈内鎮静法(眠っている間に終了します) をご希望される方が非常に多くなってきています。
そこで、静脈内鎮静法 による麻酔をもっと多くの方にご利用していただくために 今まで3万円かかっていた費用を無料にしました。
これは、静脈内鎮静法 でインプラント治療を行いたいが、麻酔費用がかかるのがネックと考えられ断念されるケースがでてきたためです。
そのため、暫くの間 試験的に無料とさせていただくことにしました。
ご希望の方は、ご利用下さい。
圧倒的に楽にインプラント治療が行えます。
インプラント無料相談
現在インプラント無料相談を受け付けています。
詳細は以下をご覧になって下さい。
インプラント無料相談
2010年のオリコン(音楽のオリコンチャートが有名ですが…)の
顧客満足度の高いインプラント歯科医院(神奈川県版) で当医院が総合2位になりました。
・オリコ
ン 2010年度版 顧客満足度の高い インプラント歯科医院ランキング神奈川県版
・ メール無料相談は こちらをクリック
歯科治療で分からないこと や ご心配ごと をメールして下
さい。
基本的に、当日に回答させていただきます。
・ インプラントオンライン見積もりは こちらをクリック
欠損部からインプラントの治療費や治療期間(治療回数)等をお答えします。
・インターネット・オンライン予約 はこちらをクリック
休診日でも24時間 オンラインで予約が行えます。
大船駅北口歯科インプラントセンターインプラント 歯周病 専門医
神奈川県横浜市にある 日本歯周病学会歯周病専門医 国際インプラント学会認定医の歯科医院
I.T.Iインプラント認定医でもあり、 GBR法 、 サイナスリフト、 審美インプラント等の難症例も行います。
HPでは 治療費(費用)の説明や インプラント症例、 無料相談コーナーもあります。






